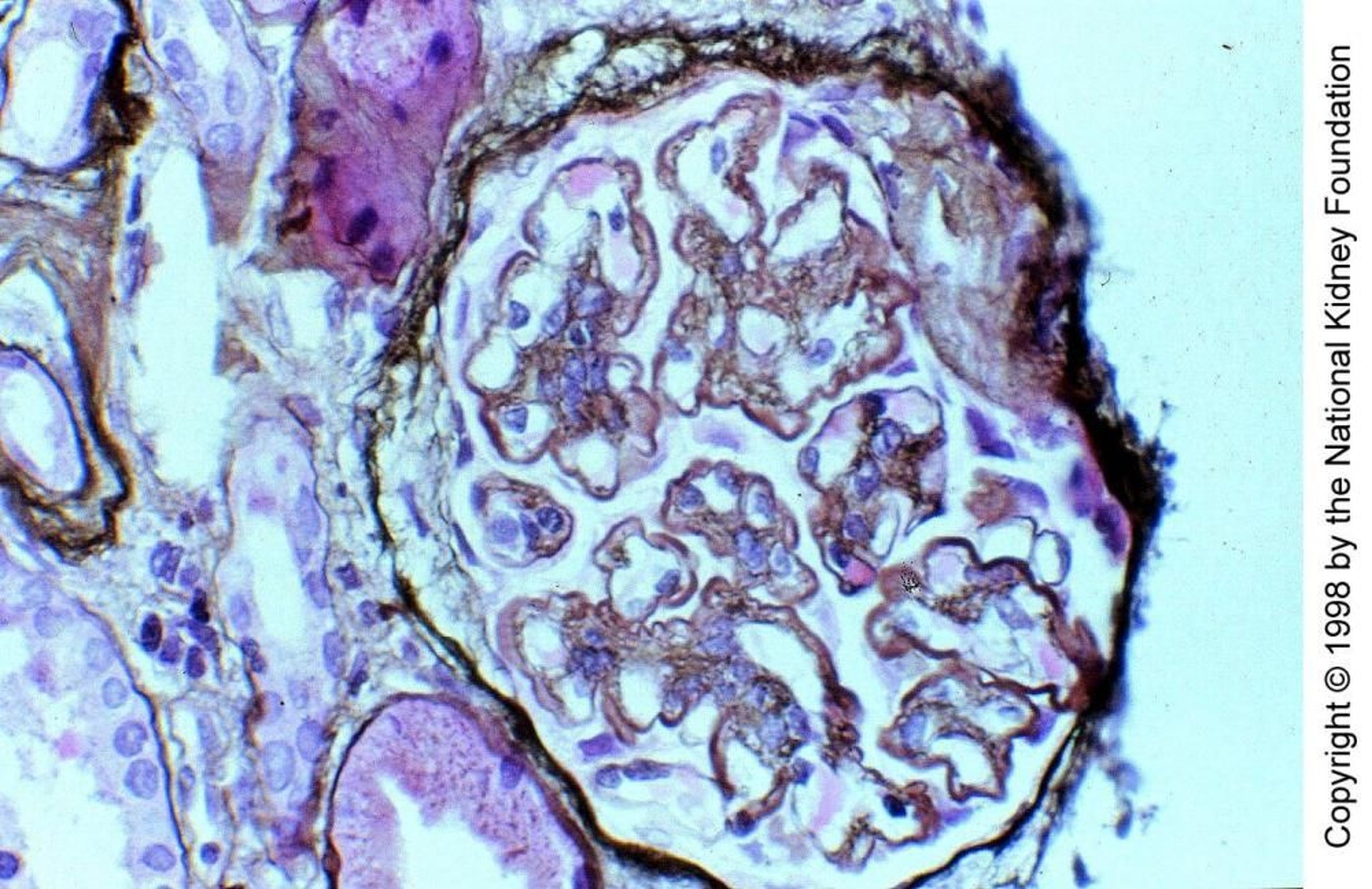
Viêm cầu thận tăng sinh màng, qua trung gian bổ thể
Trong bệnh viêm cầu thận màng tăng sinh qua trung gian bổ thể (MPGN) loại II, yếu tố thận C3, một tự kháng thể IgG có chức năng giống như properdin bằng cách trực tiếp phân cắt C3 thành C3b, kích hoạt bổ thể thông qua con đường thay thế bên trong thành mao mạch cầu thận và gian mạch. Lắng đọng một phần C3 thay thế một phần màng đáy lớp sáng, tạo cho nó một hình dạng dải băng dày và đặc biệt (nhuộm bạc Jones, ×400).
Hình ảnh do bác sĩ Agnes Fogo và American Journal of Kidney Diseases' Atlas of Renal Pathology cung cấp (xem www.ajkd.org).
Trong các chủ đề này
