Viêm cầu thận màng tăng sinh, qua trung gian globulin miễn dịch/qua trung gian phức hợp miễn dịch
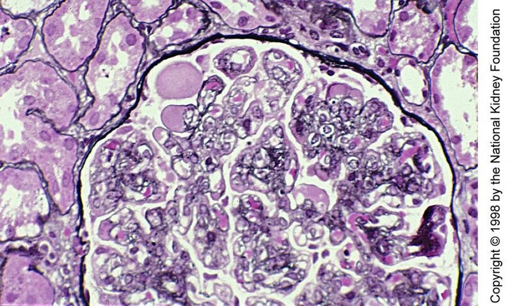
Trong bệnh viêm cầu thận màng tăng sinh qua trung gian globulin miễn dịch/qua trung gian phức hợp miễn dịch, tình trạng lắng đọng phức hợp miễn dịch mạn tính (chủ yếu là C3 và IgG hoặc IgM) kích hoạt bổ thể thông qua con đường cổ điển trong thành mao mạch cầu thận và ở gian mạch. Kết quả là sự tăng sinh gian mạch, màng đáy cầu thận (GBM) dày lên, tế bào chất của tế bào gian mạch xen kẽ giữa GBM và tế bào nội mô và xơ cứng cầu thận dẫn đến suy thận. Độ dày GBM được biểu hiện ở đây bằng các đường viền kép (nhuộm bạc Jones, ×400).
Hình ảnh do bác sĩ Agnes Fogo và American Journal of Kidney Diseases' Atlas of Renal Pathology cung cấp (xem www.ajkd.org).
Trong các chủ đề này
