Viêm thực quản do Herpes Simplex
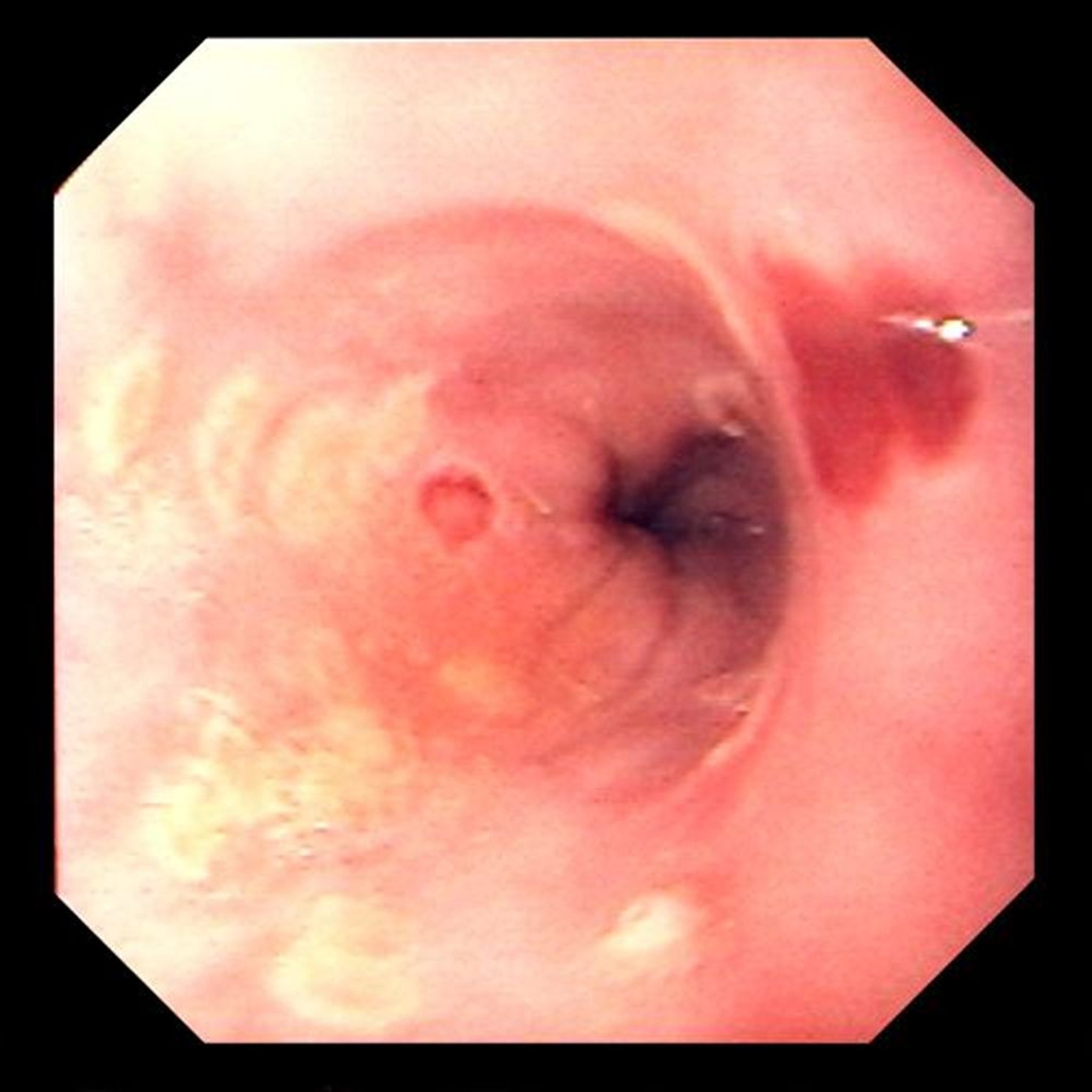
Loét khu trú là điển hình của viêm thực quản do vi rút herpes simplex.
Hình ảnh do bác sĩ David M. Martin cung cấp.
Trong các chủ đề này
Loét khu trú là điển hình của viêm thực quản do vi rút herpes simplex.
Hình ảnh do bác sĩ David M. Martin cung cấp.