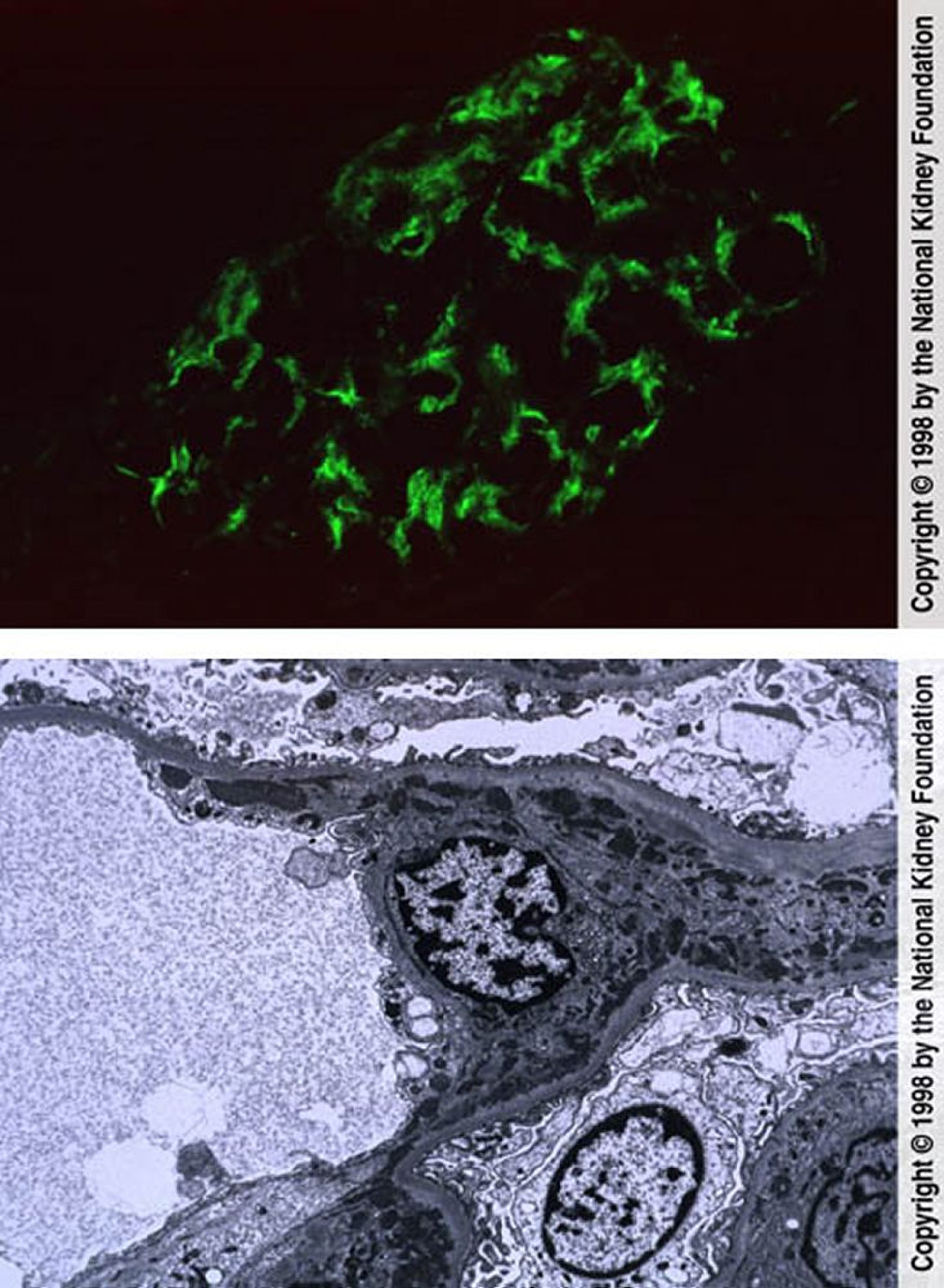
Viêm thận do lupus – Tăng sinh gian mạch (Loại II)
Hình trên cho thấy lắng đọng IgM ở gian mạch (miễn dịch huỳnh quang có kháng IgM, độ phóng đại ban đầu ×400). Trong hình ảnh dưới cùng, các chất lắng đọng phức hợp miễn dịch dày đặc ở gian mạch và các kết tập lưới trong tế bào chất của tế bào nội mô được quan sát thấy trên kính hiển vi điện tử truyền qua (×8000).
Hình ảnh do bác sĩ Agnes Fogo và American Journal of Kidney Diseases' Atlas of Renal Pathology cung cấp (xem www.ajkd.org).
Trong các chủ đề này
