Viêm ruột thừa cấp
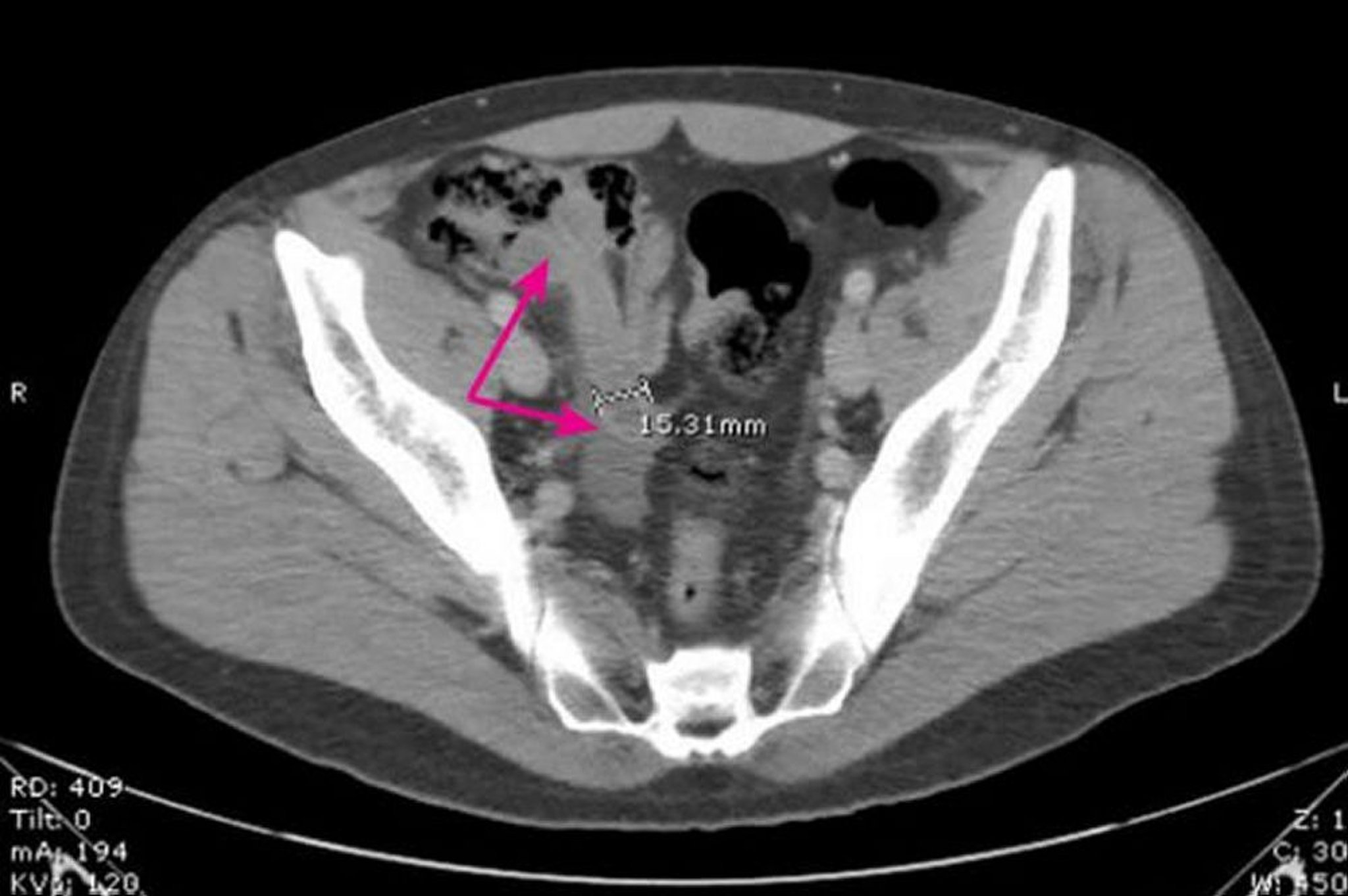
Hình ảnh này cho thấy ruột thừa giãn ra, có thành dày (mũi tên) có đường kính 15,31 mm với những thay đổi viêm xung quanh.
Hình ảnh do bác sĩ Parswa Ansari cung cấp
Trong các chủ đề này
Hình ảnh này cho thấy ruột thừa giãn ra, có thành dày (mũi tên) có đường kính 15,31 mm với những thay đổi viêm xung quanh.
Hình ảnh do bác sĩ Parswa Ansari cung cấp