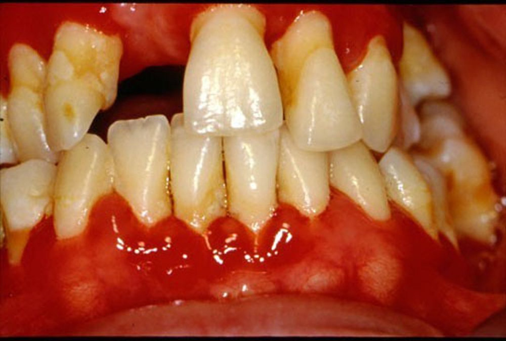
Viêm quanh răng mạn tính
Bức ảnh này cho thấy tình trạng viêm mạn tính do mảng bám ở các mô mềm dẫn đến mất mô nướu và xương hỗ trợ, lung lay răng và mất răng.
Hình ảnh do bác sĩ nha khoa Jonathan A. Ship cung cấp.
Trong các chủ đề này
Bức ảnh này cho thấy tình trạng viêm mạn tính do mảng bám ở các mô mềm dẫn đến mất mô nướu và xương hỗ trợ, lung lay răng và mất răng.
Hình ảnh do bác sĩ nha khoa Jonathan A. Ship cung cấp.