Viêm phổi kẽ quá mẫn mạn tính
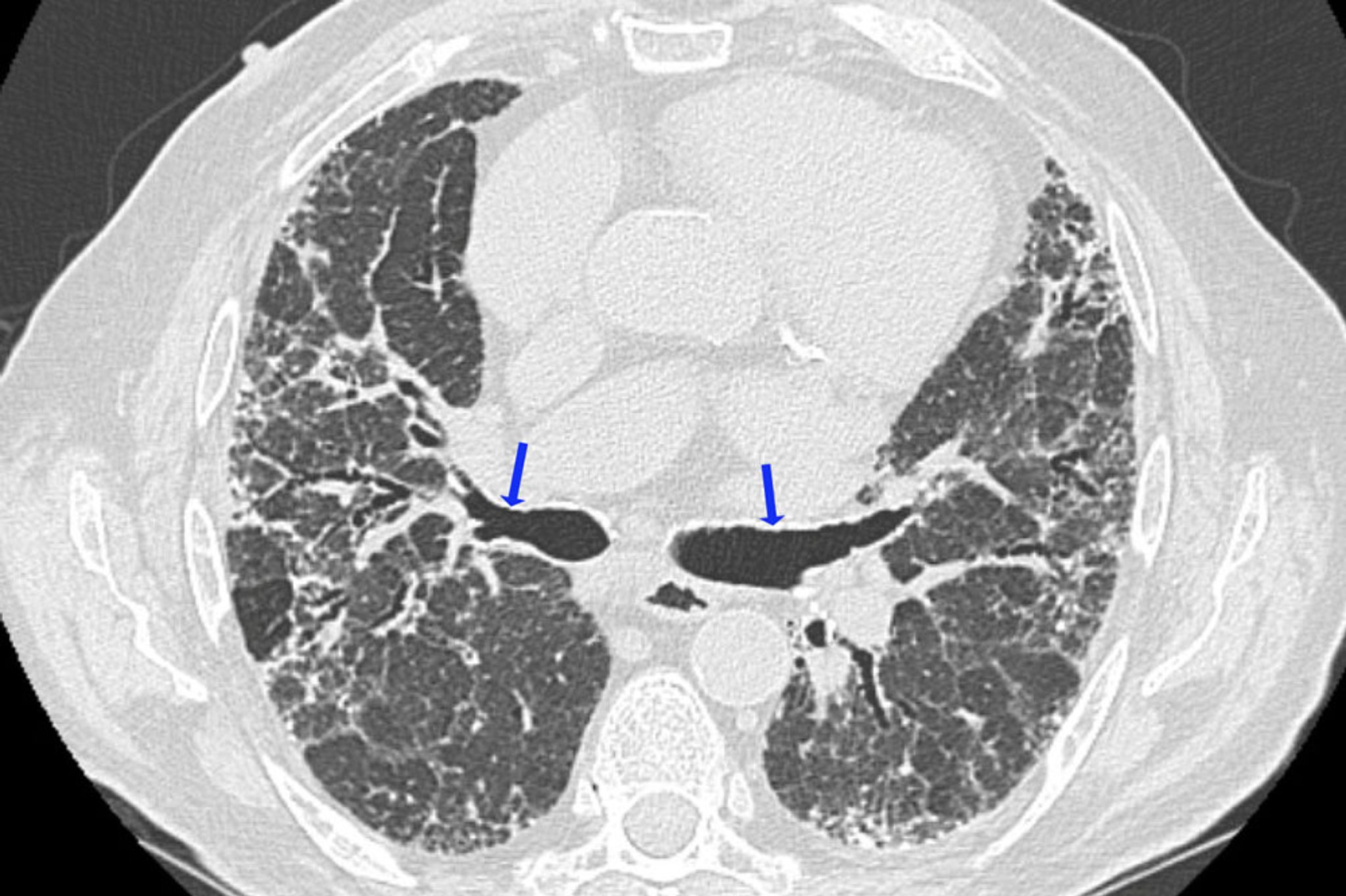
Chụp CT độ phân giải cao này cho thấy các dấu hiệu xơ hóa, bao gồm hình mắt lưới không đều và giãn phế quản do co kéo (mũi tên). Các vùng có mật độ phổi giảm tương thích với các vùng tắc nghẽn đường thở. Kết hợp các dấu hiệu này gợi ý đến viêm phổi kẽ do quá mẫn.
Hình ảnh do bác sĩ Joyce Lee cung cấp
Trong các chủ đề này
