Viêm amidan cấp tính
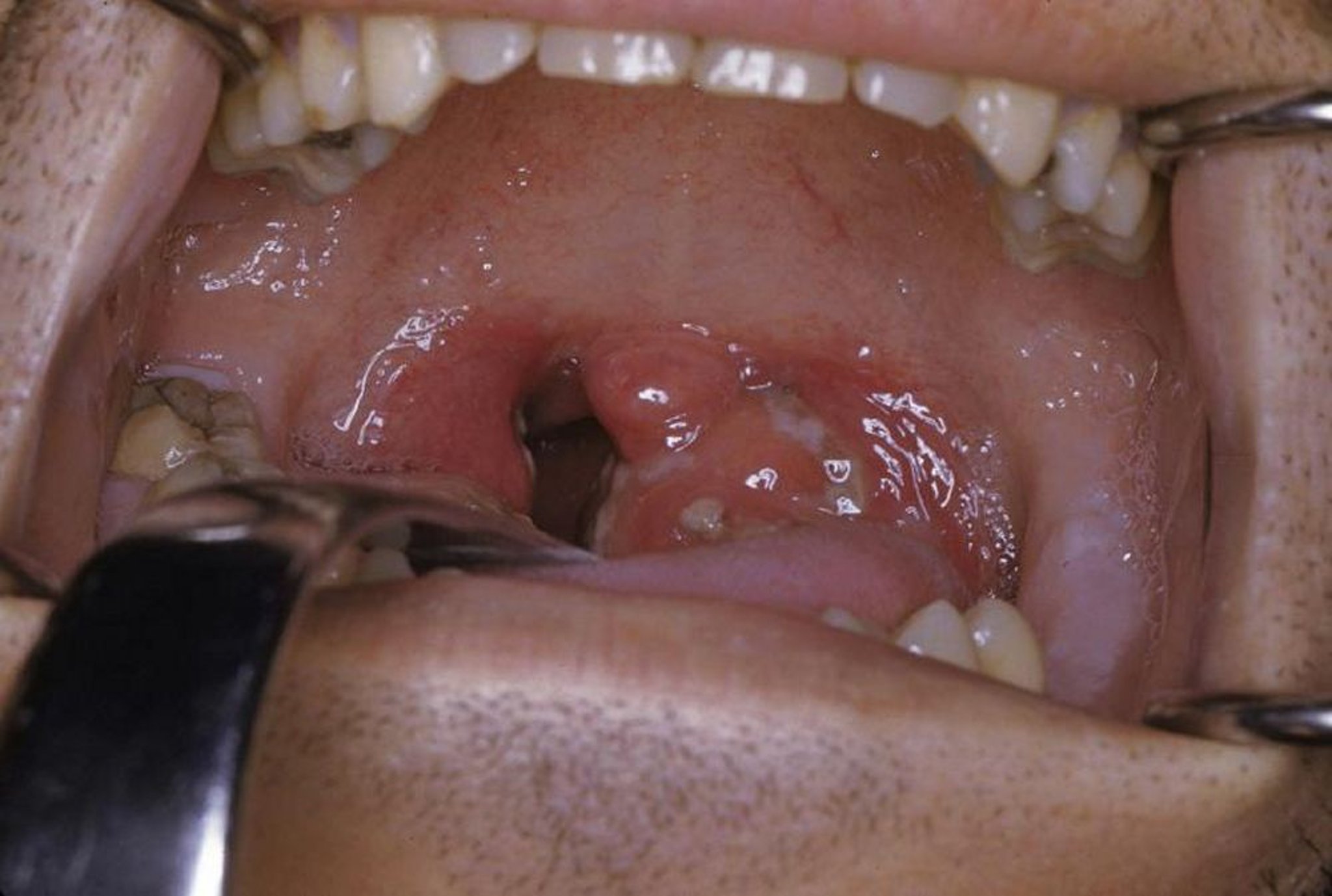
Ảnh này cho thấy viêm amidan cấp tính kèm theo dịch tiết và ban đỏ.
Hình ảnh do bác sĩ Clarence T. Sasaki cung cấp
Trong các chủ đề này
Ảnh này cho thấy viêm amidan cấp tính kèm theo dịch tiết và ban đỏ.
Hình ảnh do bác sĩ Clarence T. Sasaki cung cấp