Ung thư biểu mô tuyến ở thực quản
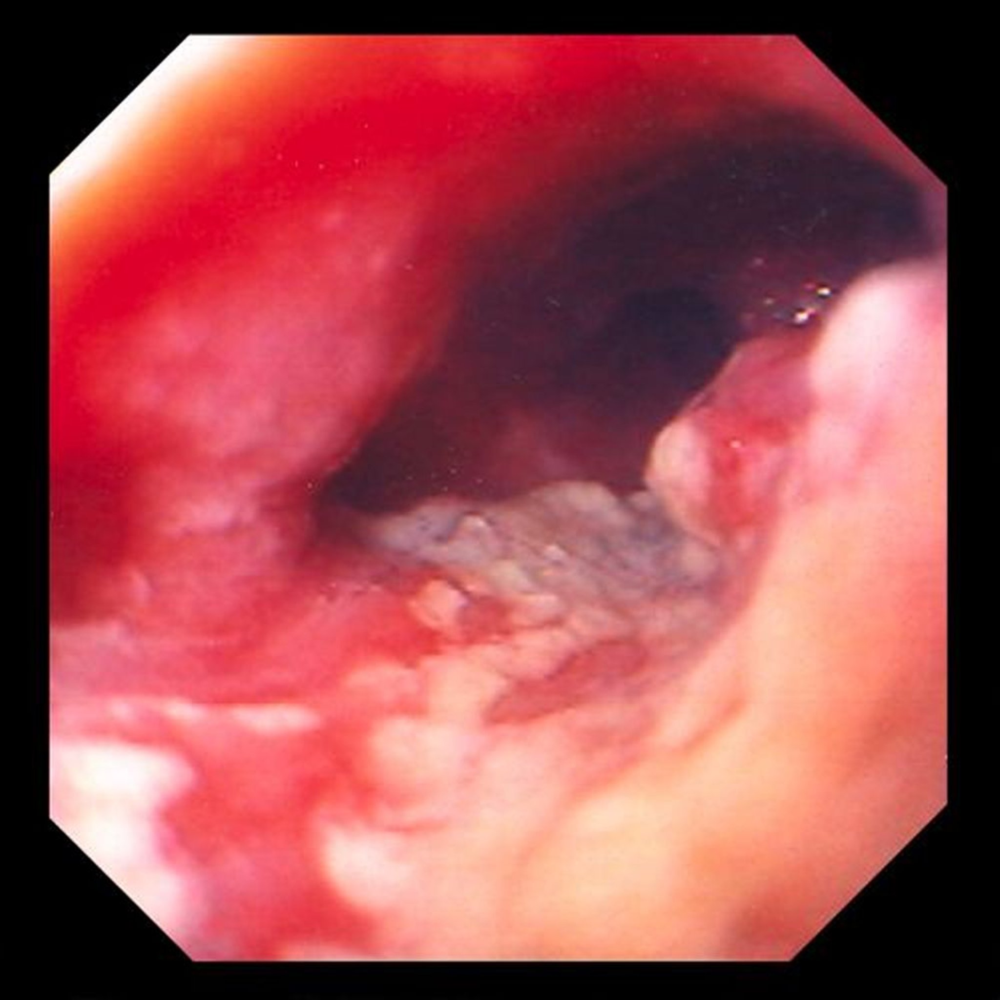
Hình ảnh này cho thấy một khối u bị loét, co kéo nằm ở đầu xa thực quản, gợi ý cao đến ung thư biểu mô tuyến phát sinh từ những thay đổi chuyển sản biểu mô trụ (Barrett thực quản).
Hình ảnh do bác sĩ David M. Martin cung cấp.
Trong các chủ đề này
