Ung thư gan di căn
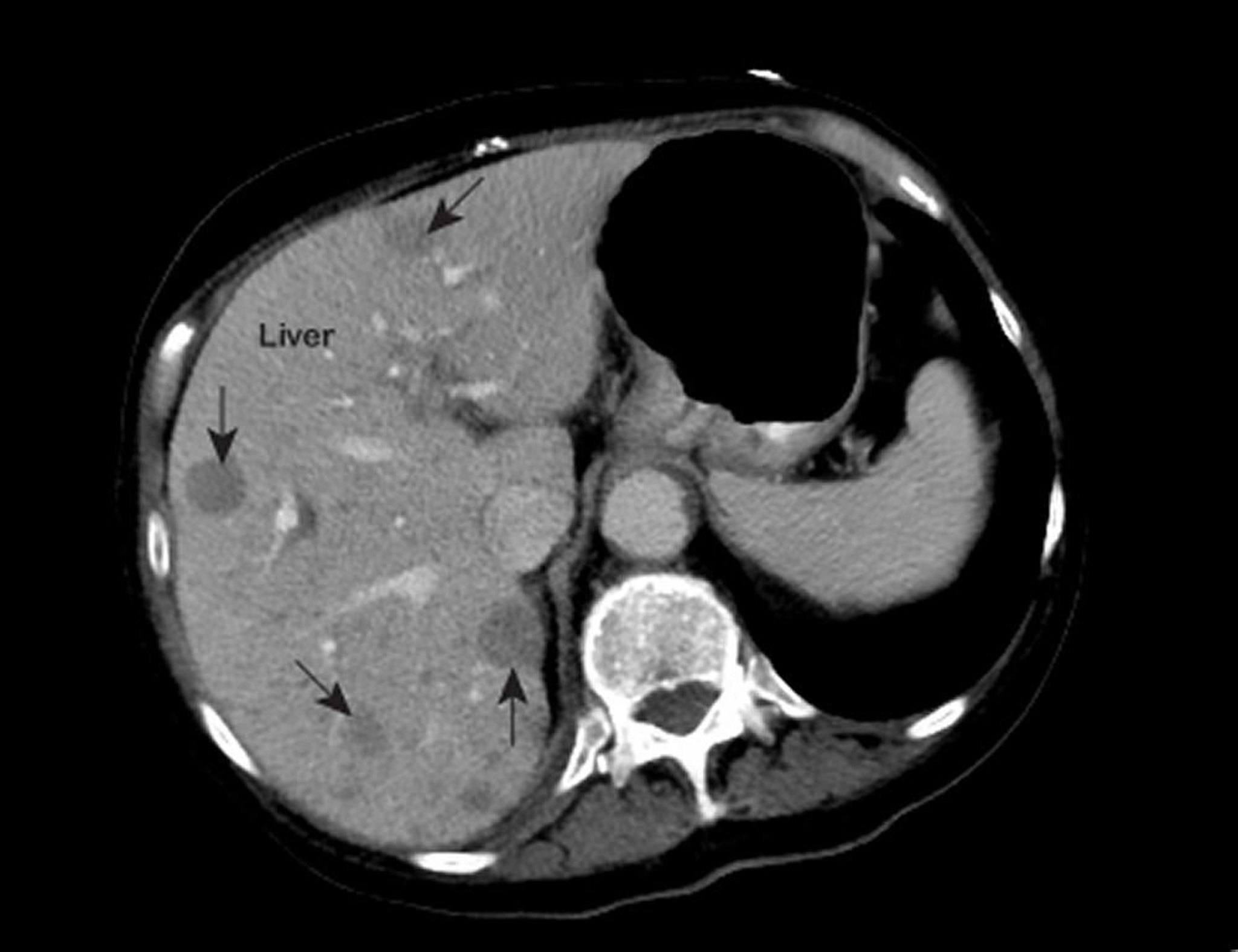
Chụp MRI ngực bất thường cho thấy các vùng có độ đậm nhạt thấp (được đánh dấu bằng mũi tên) bên trong gan. Xuất hiện này là dấu hiệu điển hình của ung thư gan di căn.
Ảnh do bác sĩ Patrick O’Kane cung cấp
Trong các chủ đề này
Chụp MRI ngực bất thường cho thấy các vùng có độ đậm nhạt thấp (được đánh dấu bằng mũi tên) bên trong gan. Xuất hiện này là dấu hiệu điển hình của ung thư gan di căn.
Ảnh do bác sĩ Patrick O’Kane cung cấp