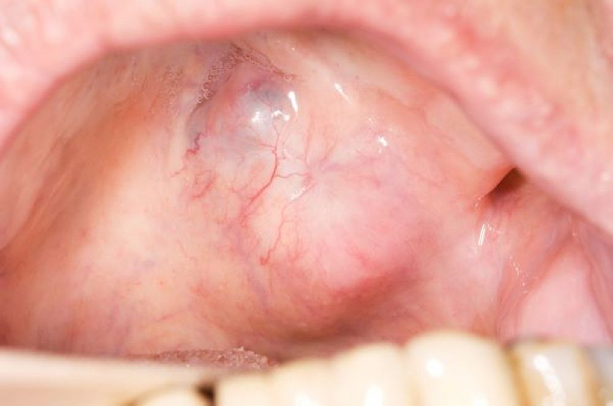
U tuyến đa hình của tuyến nước bọt ở hàm ếch
U tuyến đa hình là loại ung thư lành tính trong miệng phổ biến nhất. Niêm mạc ở hàm ếch là vị trí xuất hiện phổ biến nhất.
BÁC SĨ P. MARAZZI/THƯ VIỆN HÌNH ẢNH KHOA HỌC
Trong các chủ đề này
U tuyến đa hình là loại ung thư lành tính trong miệng phổ biến nhất. Niêm mạc ở hàm ếch là vị trí xuất hiện phổ biến nhất.
BÁC SĨ P. MARAZZI/THƯ VIỆN HÌNH ẢNH KHOA HỌC