U sụn
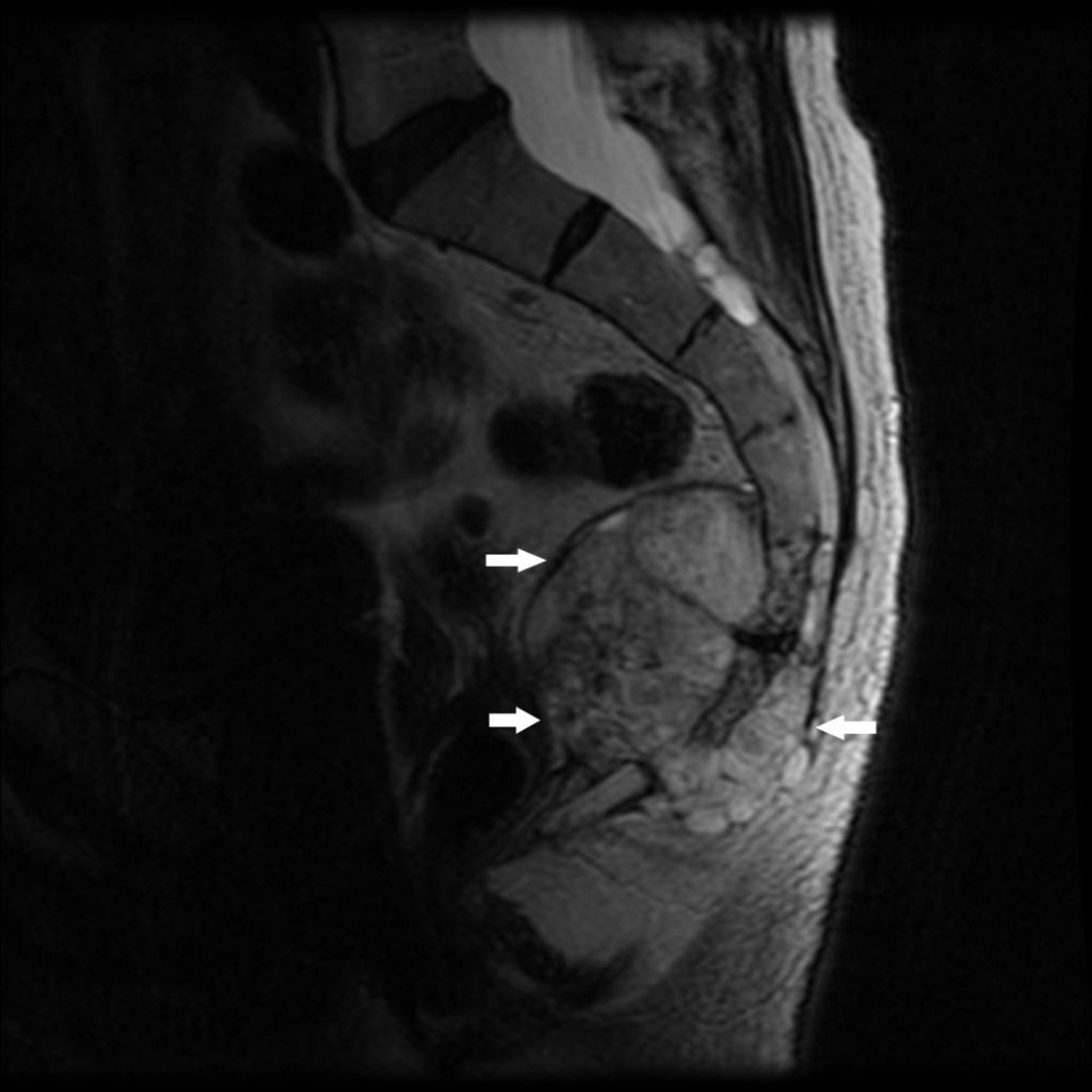
Phim MRI này cho thấy khối u ở phần đuôi xương cùng (S4) và xương cụt có tình trạng phá hủy xương và khối u ở mô mềm (mũi tên), đặc trưng của u nguyên sống.
Hình ảnh do bác sĩ Michael J. Joyce, và bác sĩ Hakan Ilaslan cung cấp.
Trong các chủ đề này
