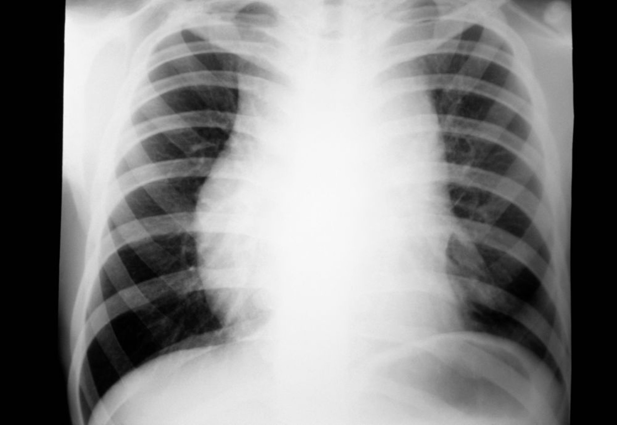
U lympho Hodgkin (nổi hạch trung thất)
Phim X quang ngực của một bệnh nhân mắc u lympho Hodgkin cho thấy hạch to ở trung thất.
BÁC SĨ P. MARAZZI/THƯ VIỆN HÌNH ẢNH KHOA HỌC
Trong các chủ đề này
Phim X quang ngực của một bệnh nhân mắc u lympho Hodgkin cho thấy hạch to ở trung thất.
BÁC SĨ P. MARAZZI/THƯ VIỆN HÌNH ẢNH KHOA HỌC