U lympho ở xương

U lympho ở xương

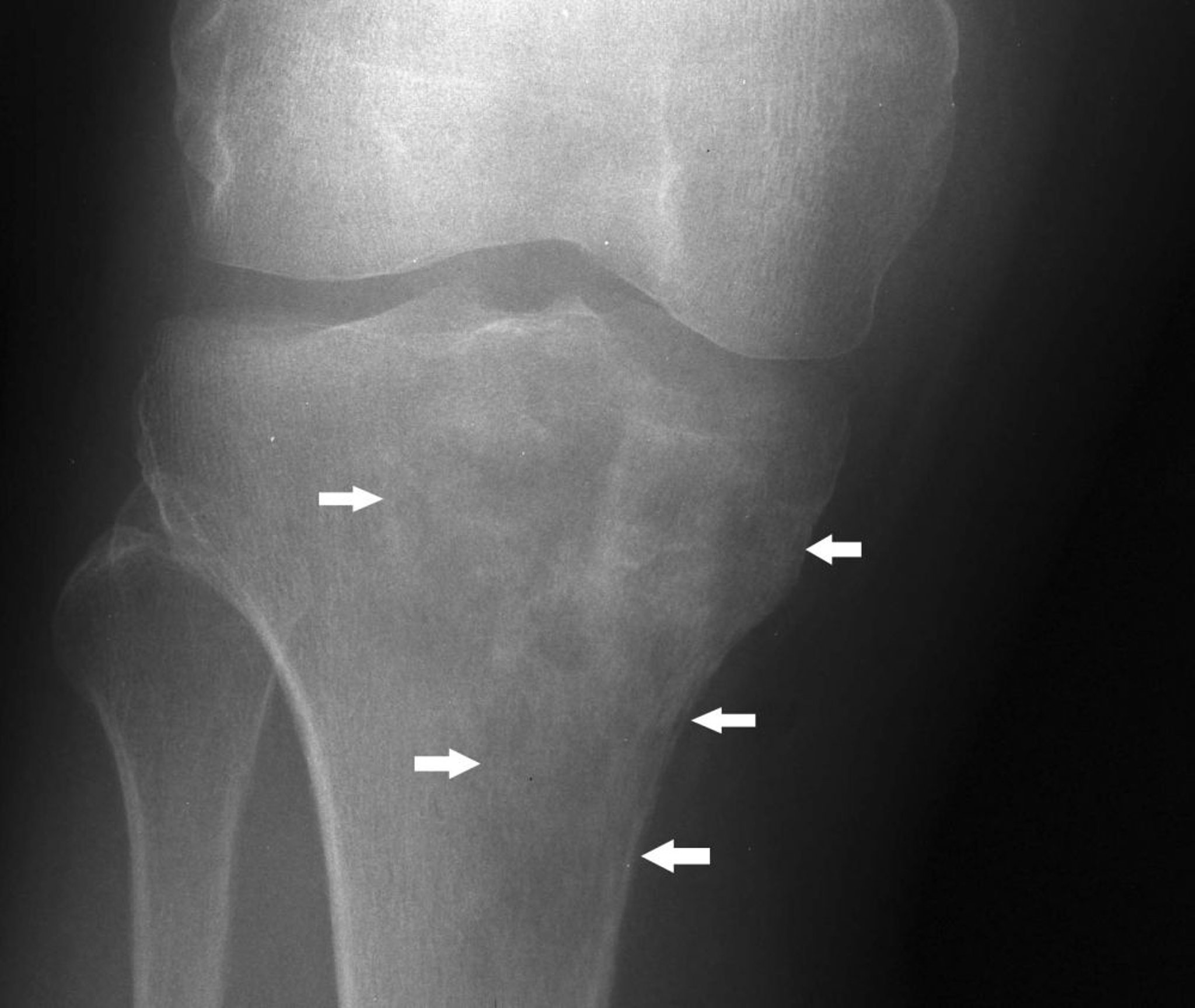
Phim chụp X-quang đầu gối này cho thấy u lympho ở xương chày gần với hình ảnh hỗn hợp của tình trạng tiêu xương và xơ cứng bên dưới lồi cầu xương chày trong (mũi tên).

Hình ảnh do bác sĩ Michael J. Joyce, và bác sĩ Hakan Ilaslan cung cấp.

Trong các chủ đề này