Trật khớp xương bánh chè (X-quang)
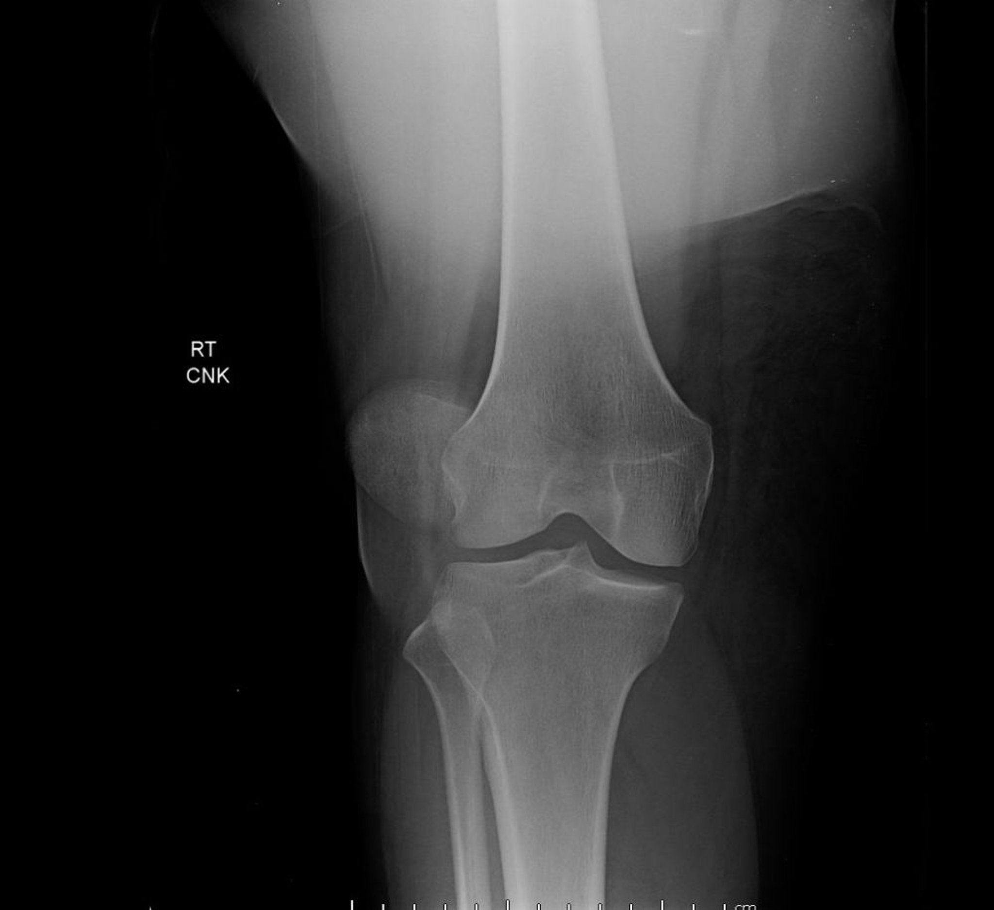
Hình ảnh trước-sau của khớp gối cho thấy trật xương bánh chè, đặc trưng bởi sự dịch chuyển sang bên mức độ nhiều của xương bánh chè, bên ngoài vị trí bình thường của nó giữa các lồi cầu xương đùi.
Hình ảnh do bác sĩ Danielle Campagne cung cấp.
Trong các chủ đề này
