Tràn máu màng phổi
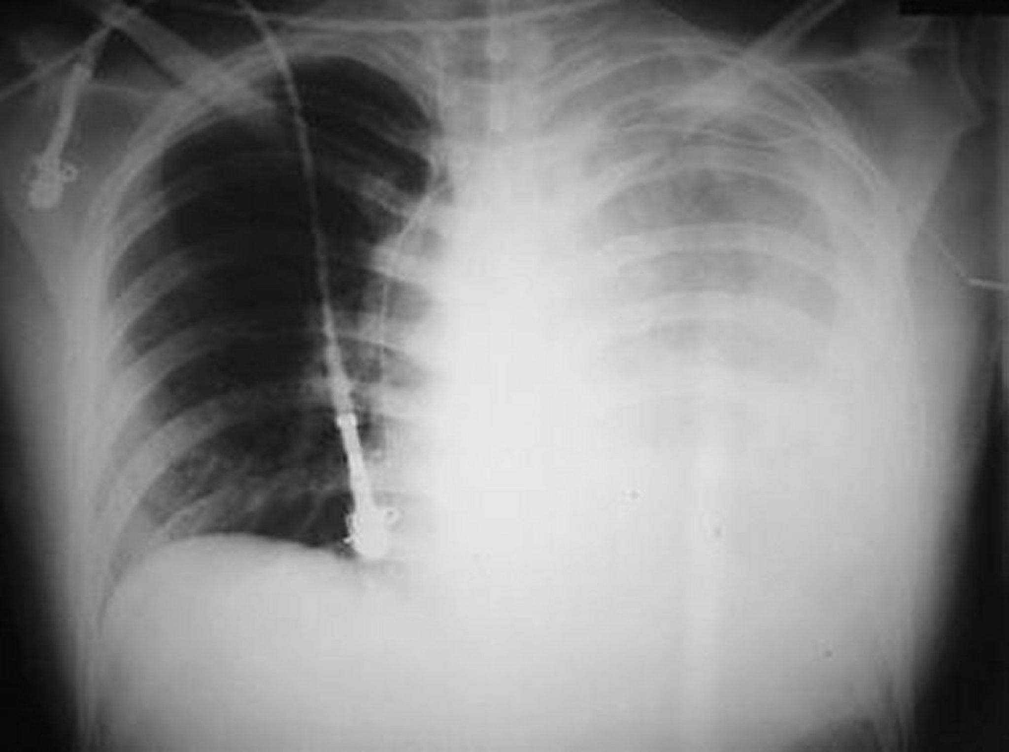
Bức ảnh này cho thấy tràn máu màng phổi nhiều ở bên trái sau khi bị một vết đạn bắn vào ngực trái.
© Springer Science+Business Media
Trong các chủ đề này
Bức ảnh này cho thấy tràn máu màng phổi nhiều ở bên trái sau khi bị một vết đạn bắn vào ngực trái.
© Springer Science+Business Media