Tràn dịch màng phổi – Ít
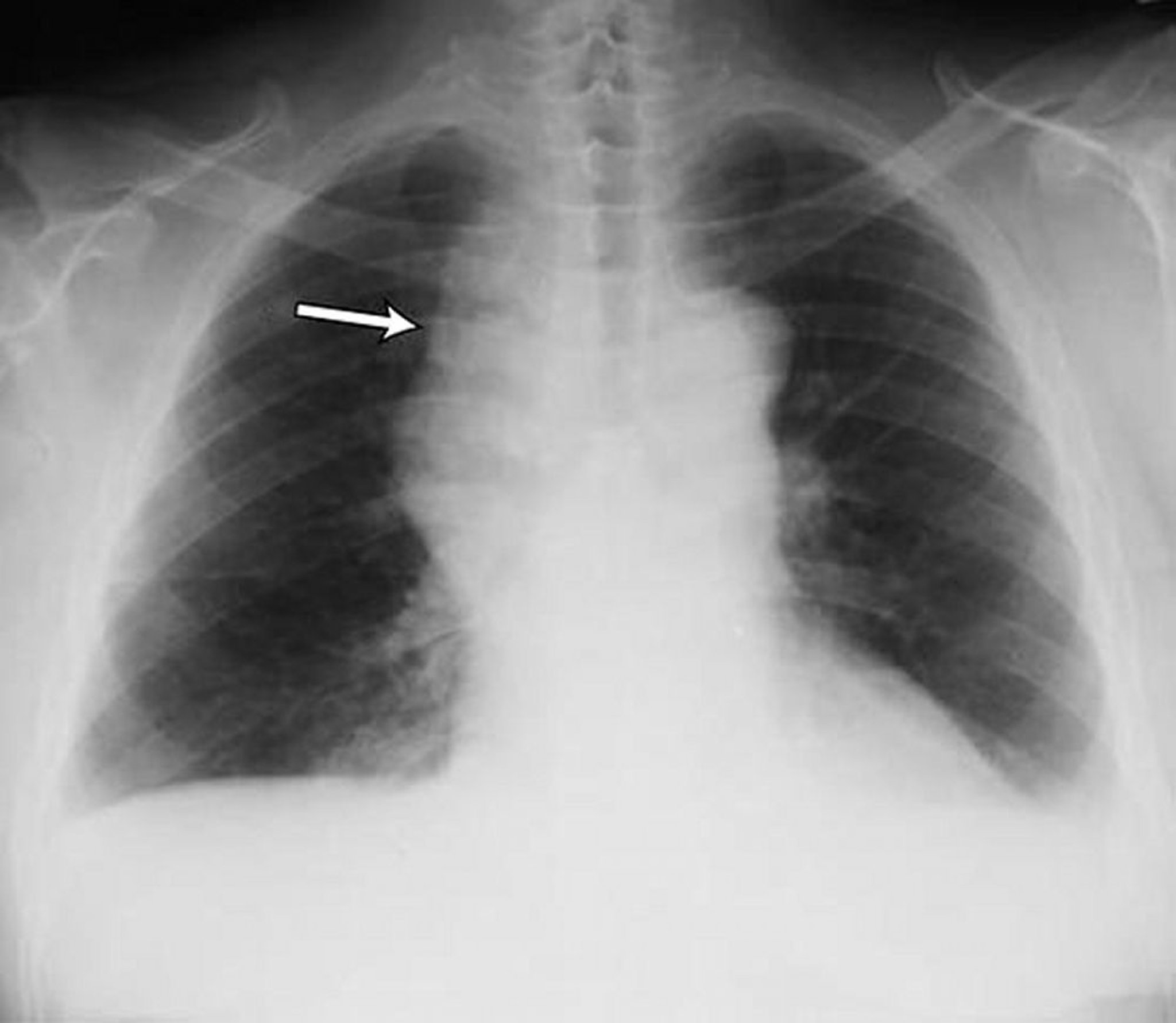
Tràn dịch màng phổi hai bên số lượng ít ở bệnh nhân ung thư hạch không Hodgkin. Cả hai góc sườn hoành đều bị tù. Mũi tên chỉ vào trung thất rộng do u lympho.
Được sự cho phép của nhà xuất bản. Theo Huggins J, Sahn S. Trong Bone's Atlas of Pulmonary and Critical Care Medicine. Biên tập bởi J Crapo. Philadelphia, Current Medicine, 2005.
Trong các chủ đề này
