Thiếu máu do thiếu sắt
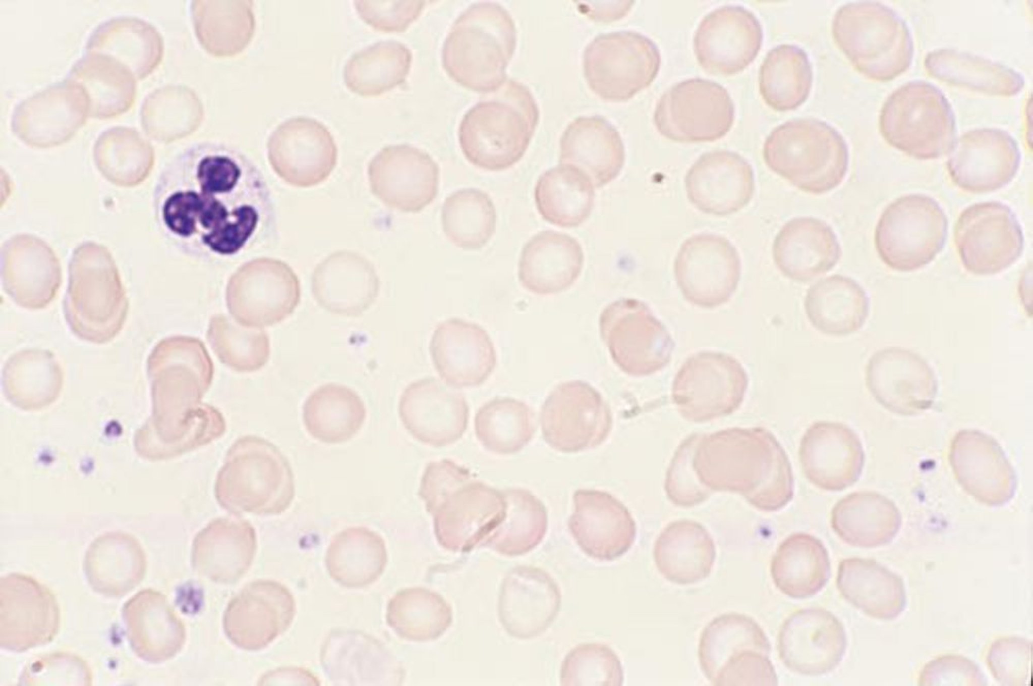
Trong thiếu máu thiếu sắt, phết tế bào ngoại biên thường cho thấy bất thường hình dạng và kích thước của hồng cầu. Trong trường hợp nghiêm trọng, hồng cầu hình xì gà và tế bào elip có mặt đặc trưng. Ngược lại, hồng cầu đa sắc (vết Wright-Giemsa tương đương với bệnh hồng cầu lưới) và sự quy định basophilic vắng mặt một cách rõ rệt.
Được sự cho phép của nhà xuất bản. Từ Tefferi A, Li C. Trong Tập ảnh về Huyết học lâm sàng. Biên tập bởi JO Armitage. Philadelphia, Current Medicine năm 2004.
Trong các chủ đề này
