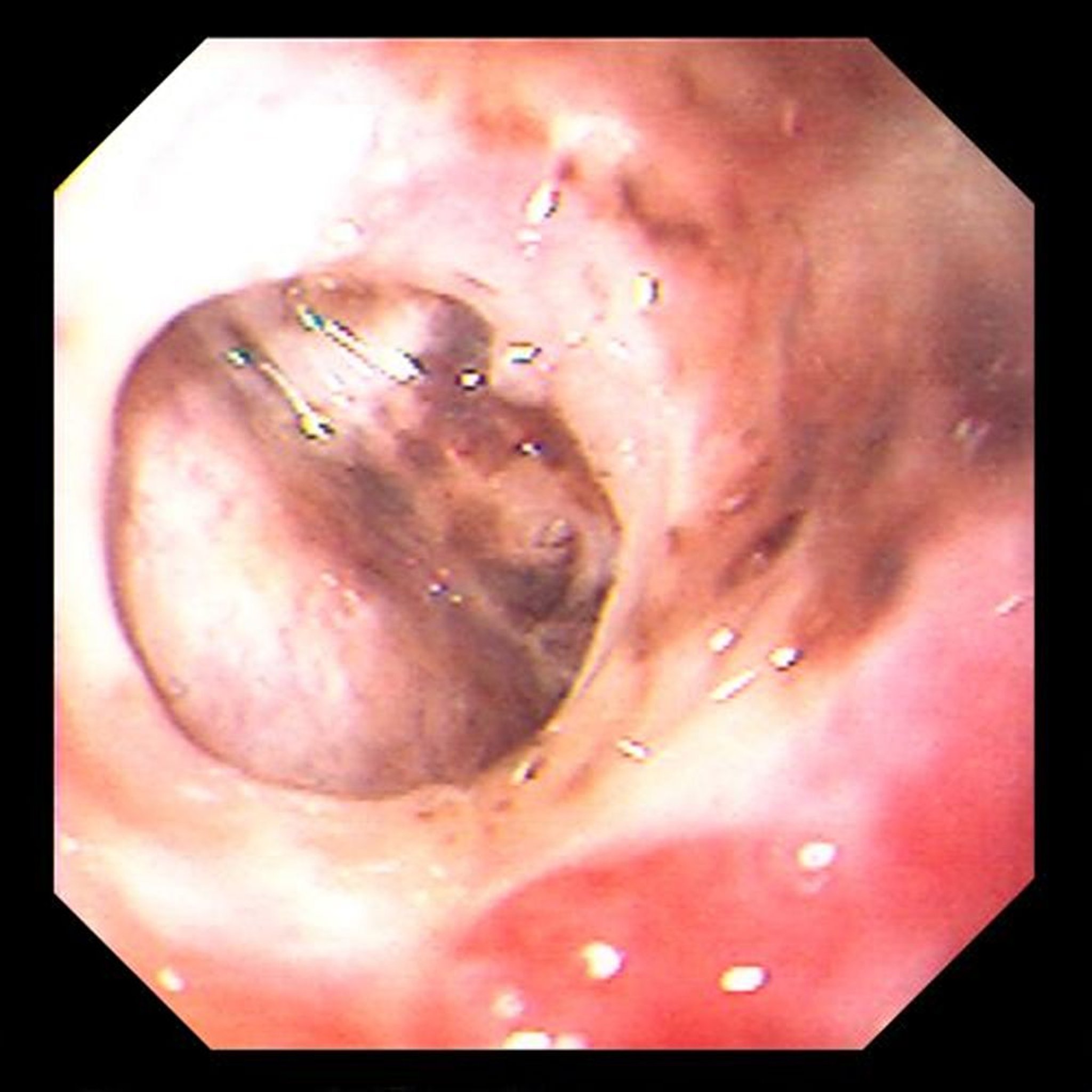
Thủng loét dạ dày
Hình ảnh này cho thấy vết thủng loét dạ dày mạn tính, giới hạn, qua đó có thể nhìn thấy gan.
Hình ảnh do bác sĩ David M. Martin cung cấp.
Trong các chủ đề này
Hình ảnh này cho thấy vết thủng loét dạ dày mạn tính, giới hạn, qua đó có thể nhìn thấy gan.
Hình ảnh do bác sĩ David M. Martin cung cấp.