honeypot link
skip to main content
MSD Manual
Phiên bản dành cho chuyên gia
CÁC CHỦ ĐỀ Y KHOA
NGUỒN
BÌNH LUẬN
CÁC THỦ THUẬT
GIỚI THIỆU
CÁC CHỦ ĐỀ Y KHOA
NGUỒN
<
Hình ảnh
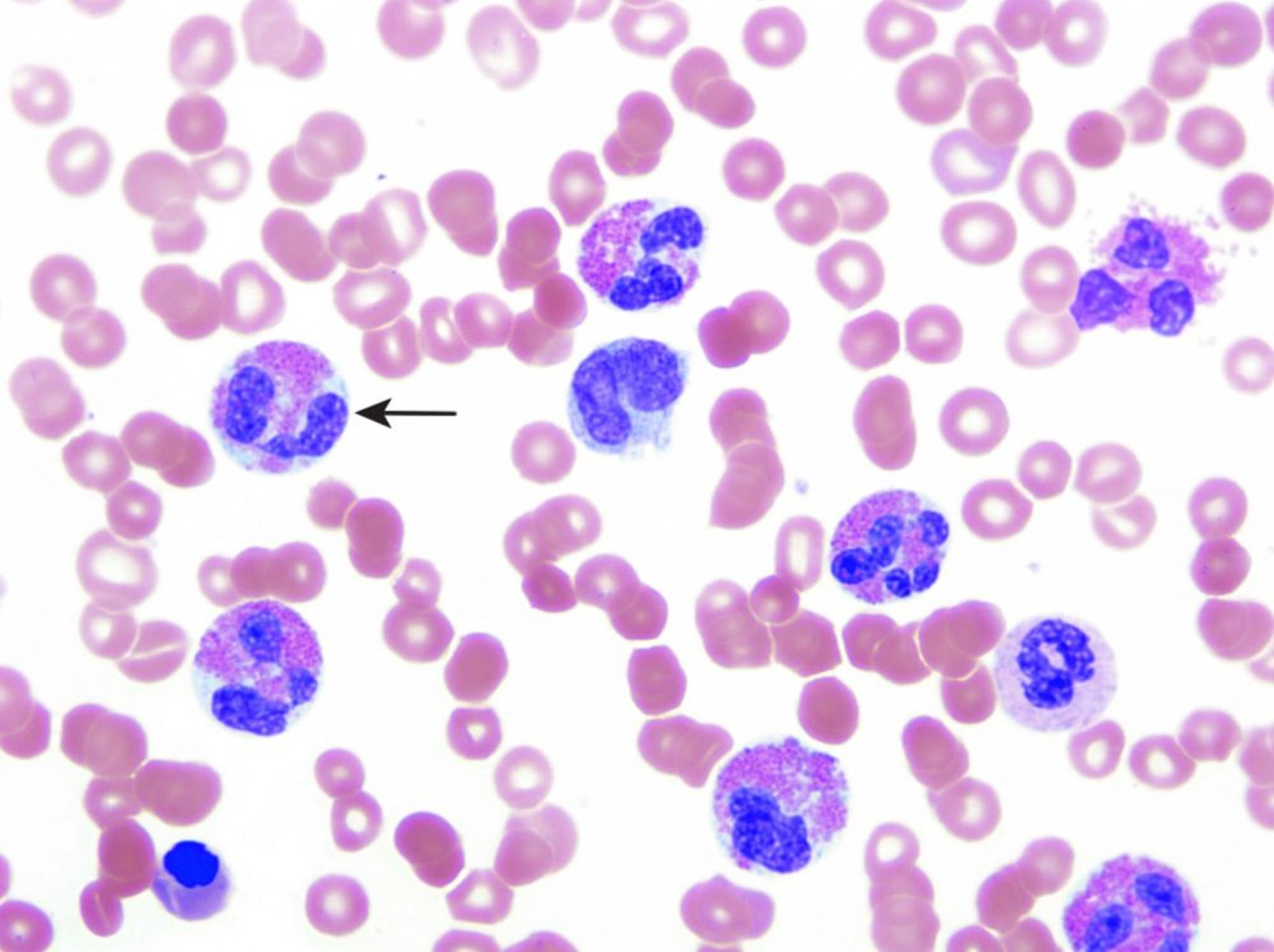
Tăng bạch cầu ái toan (phiến đồ phết máu ngoại biên)
Hình ảnh này cho thấy các bạch cầu ái toan (mũi tên).
© Springer Science+Business Media
Trong các chủ đề này
Tăng bạch cầu ái toan
>