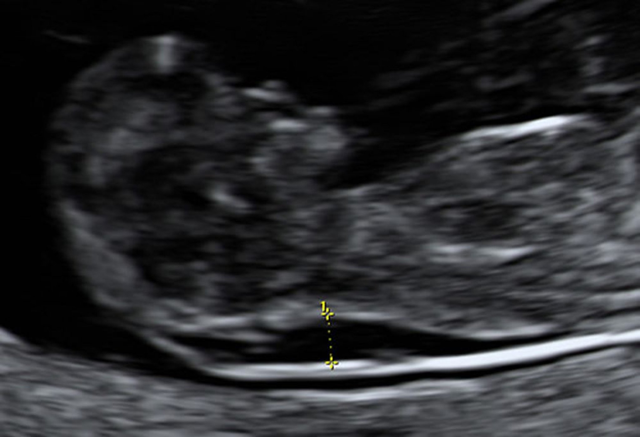
Siêu âm cho thấy khoảng mờ của da gáy to ra ở thai nhi 10 tuần
Lấy mẫu nhung mao màng đệm cho thấy thai nhi này mắc hội chứng Down.
Hình ảnh do bác sĩ Jeffrey S. Dungan cung cấp.
Trong các chủ đề này
Lấy mẫu nhung mao màng đệm cho thấy thai nhi này mắc hội chứng Down.
Hình ảnh do bác sĩ Jeffrey S. Dungan cung cấp.