Sarcom xương
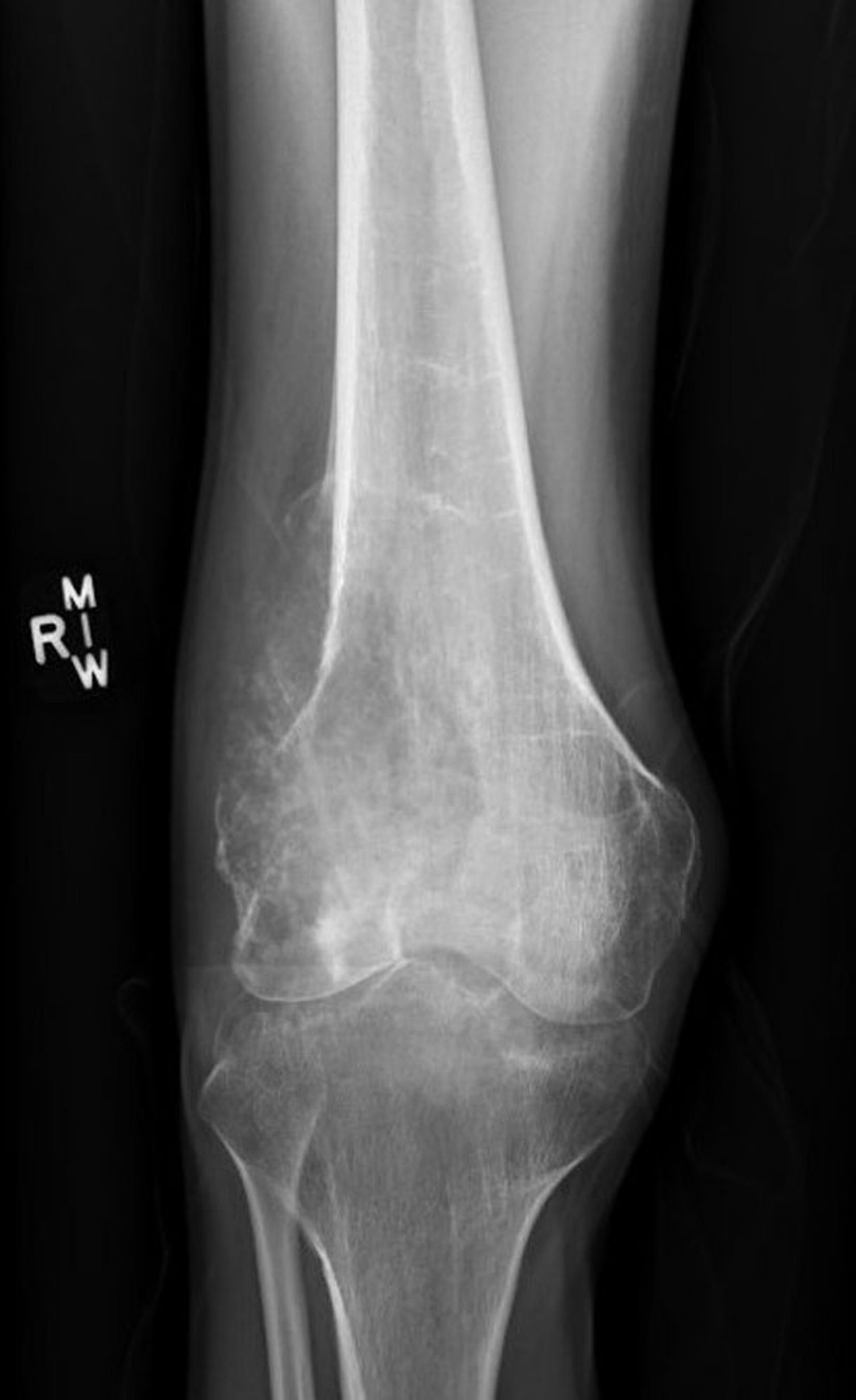
Phim chụp X-quang khớp gối này cho thấy một sarcoma xương cóphá hủy ở xương đùi phía trên khớp gối với biểu hiện phá hủy xương dạng tiêu xương và hình tam giác Codman cổ điển cho thấy dày màng xương bệnh lý.
Hình ảnh do bác sĩ Lukas Nystrom cung cấp.
Trong các chủ đề này
