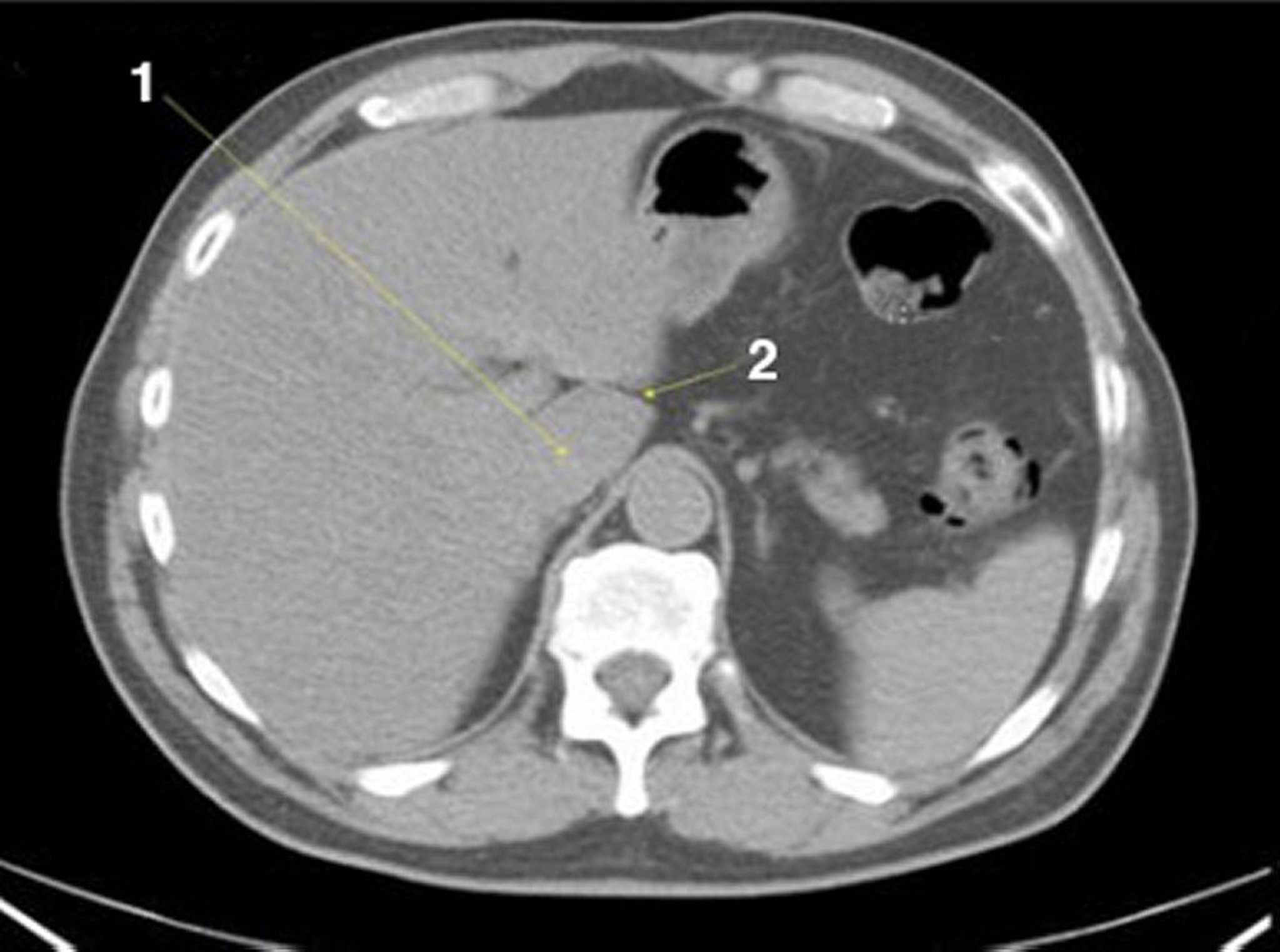
Phim chụp CT vùng bụng và vùng chậu không thuốc cản quang cho thấy giải phẫu bình thường (lát cắt 4)
1 = thùy đuôi của gan; 2 = khe của dây chằng tĩnh mạch.
© Springer Science+Business Media
Trong các chủ đề này
1 = thùy đuôi của gan; 2 = khe của dây chằng tĩnh mạch.
© Springer Science+Business Media