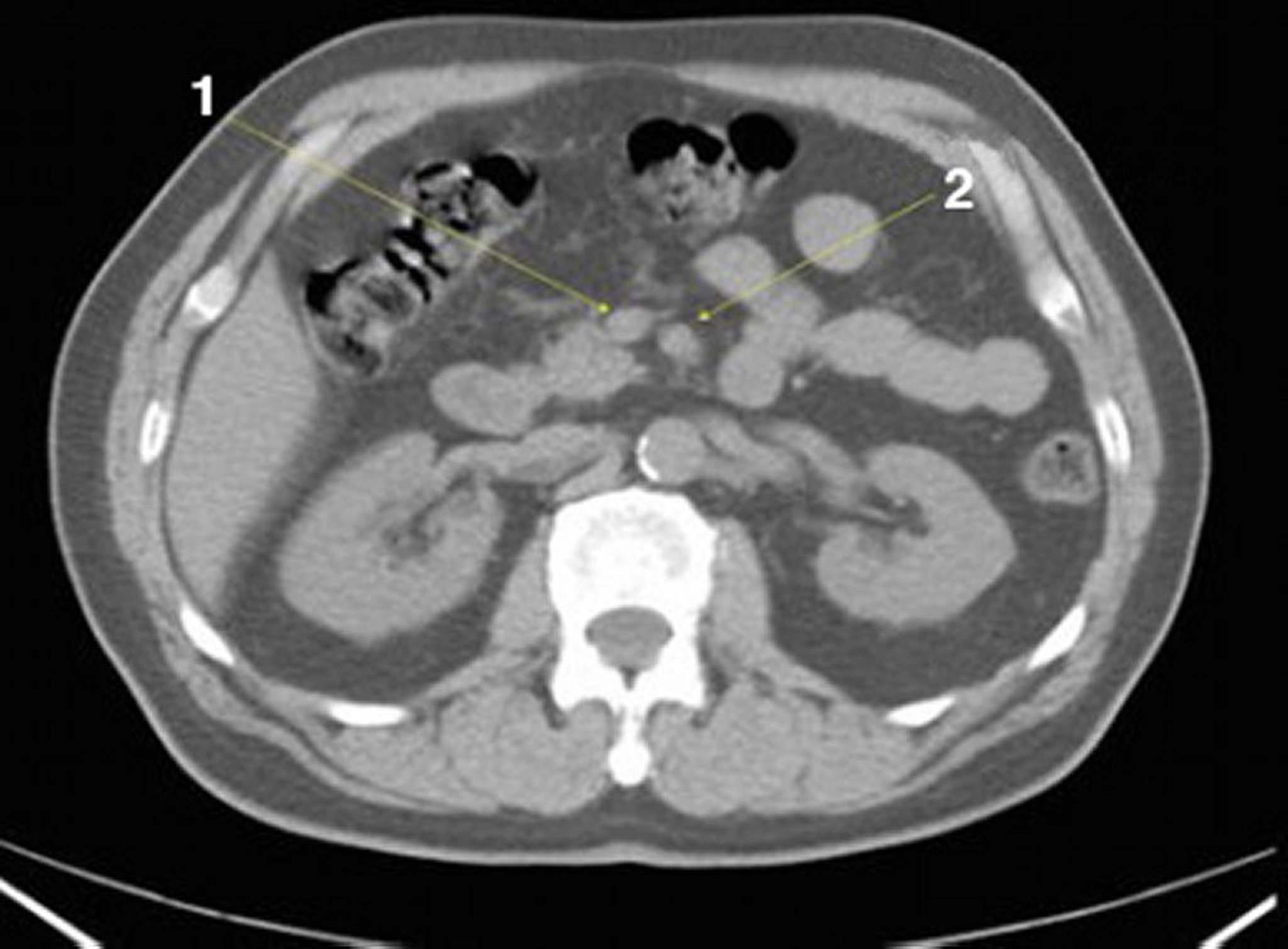
Phim chụp CT vùng bụng và vùng chậu không thuốc cản quang cho thấy giải phẫu bình thường (lát cắt 13)
1 = tĩnh mạch mạc treo tràng trên; 2 = động mạch mạc treo tràng trên.
© Springer Science+Business Media
Trong các chủ đề này
1 = tĩnh mạch mạc treo tràng trên; 2 = động mạch mạc treo tràng trên.
© Springer Science+Business Media