Phình động mạch chủ bụng (siêu âm)
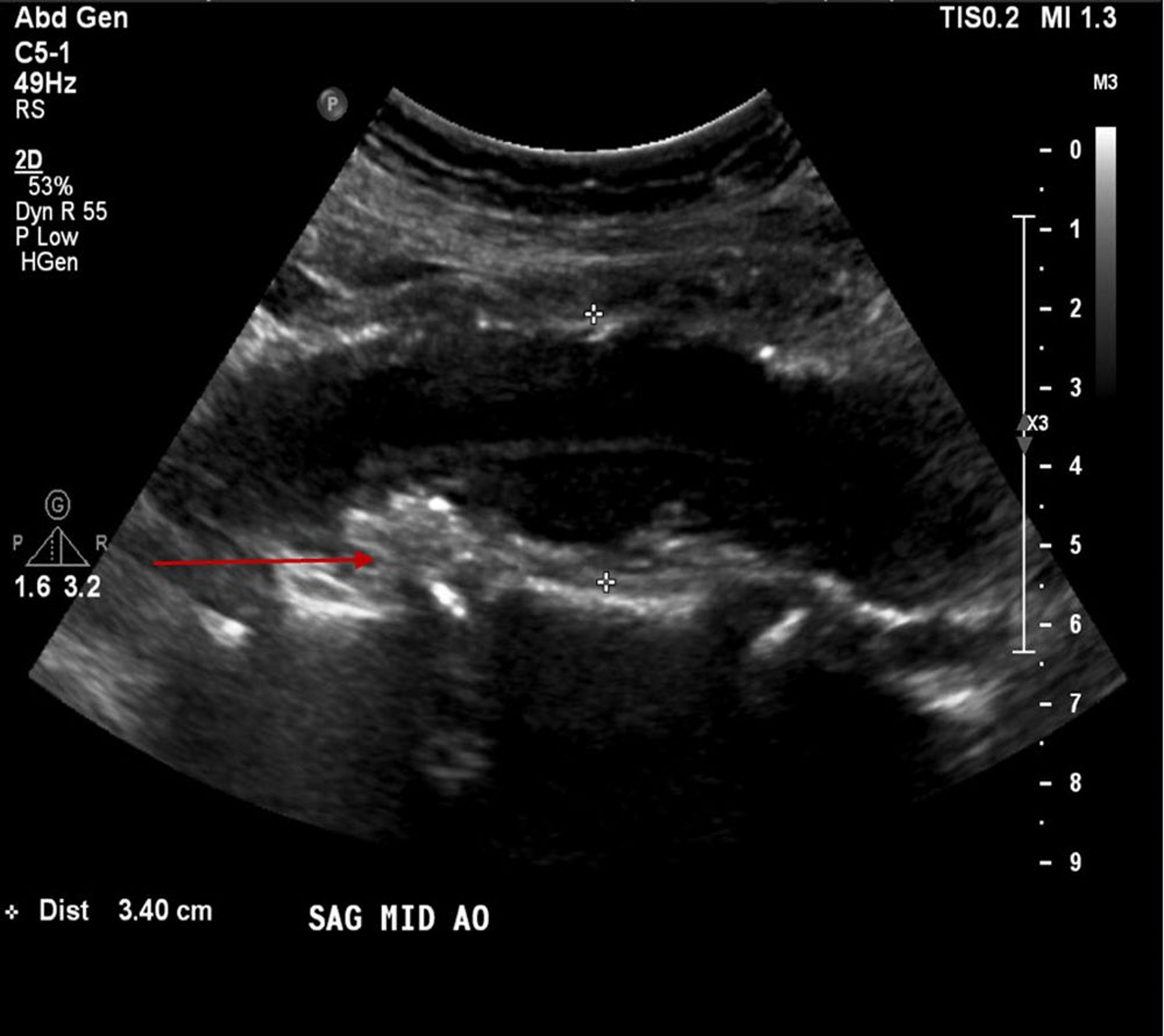
Bệnh nhân này có một túi phình động mạch chủ bụng có kích thước 3,4 cm (giữa hai chữ thập màu trắng) cũng như mảng xơ vữa động mạch hoặc cục nghẽn trên thành (mũi tên đỏ).
© 2017 Bác sĩ Elliot K. Fishman.
Trong các chủ đề này
