Osteochondroma of the Knee
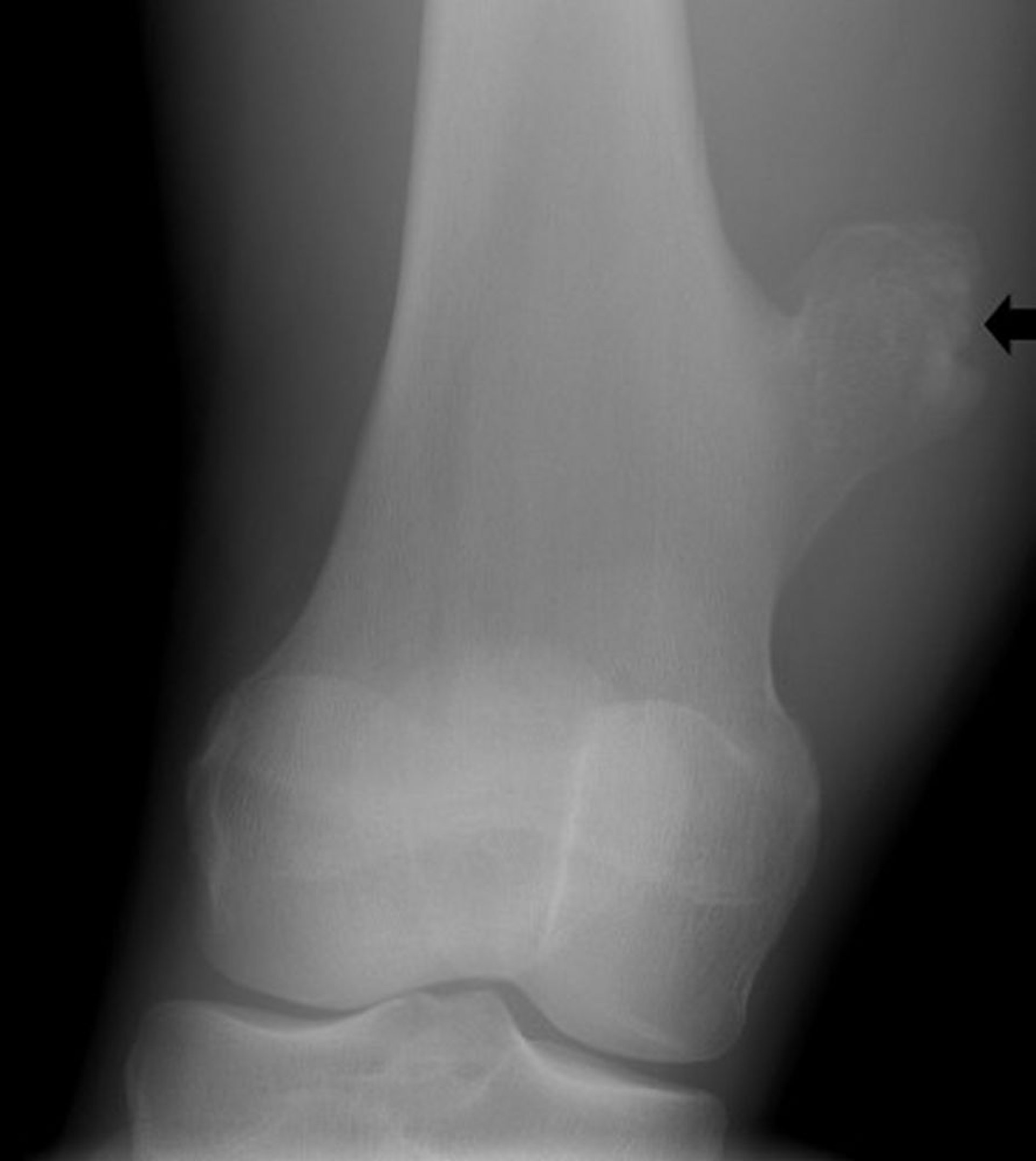
Phim chụp X-quang đầu gối này cho thấy một khối xương phát triển (mũi tên) từ xương đùi phía trên khớp gối, phù hợp với u xương sụn.
Hình ảnh do bác sĩ Michael J. Joyce, và bác sĩ Hakan Ilaslan cung cấp.
Trong các chủ đề này
