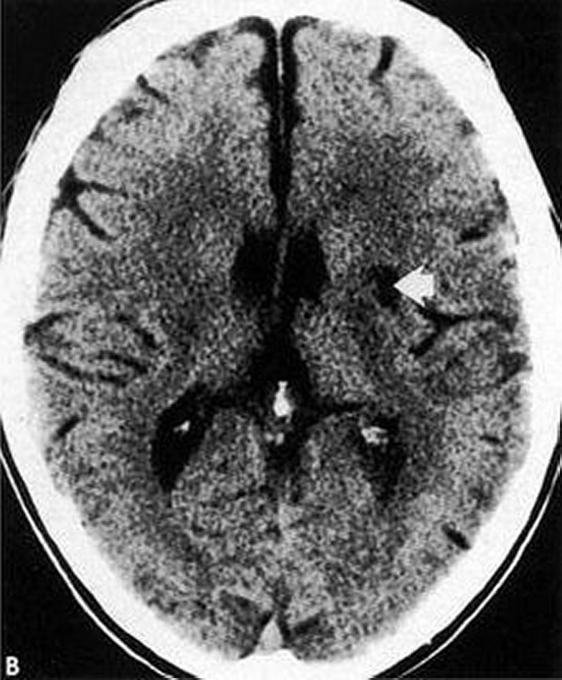
Nhồi máu ổ khuyết
Chụp CT này cho thấy nhồi máu ổ khuyết giảm âm, bờ rõ (mũi tên) trong hạch nền.
Được sự cho phép của nhà xuất bản. Theo Geremia G, Greenlee W. Trong Atlas of Cerebrovascular Disease. Biên tập bởi PB Gorelick và MA Sloan. Philadelphia, Current Medicine, 1996.
Trong các chủ đề này
