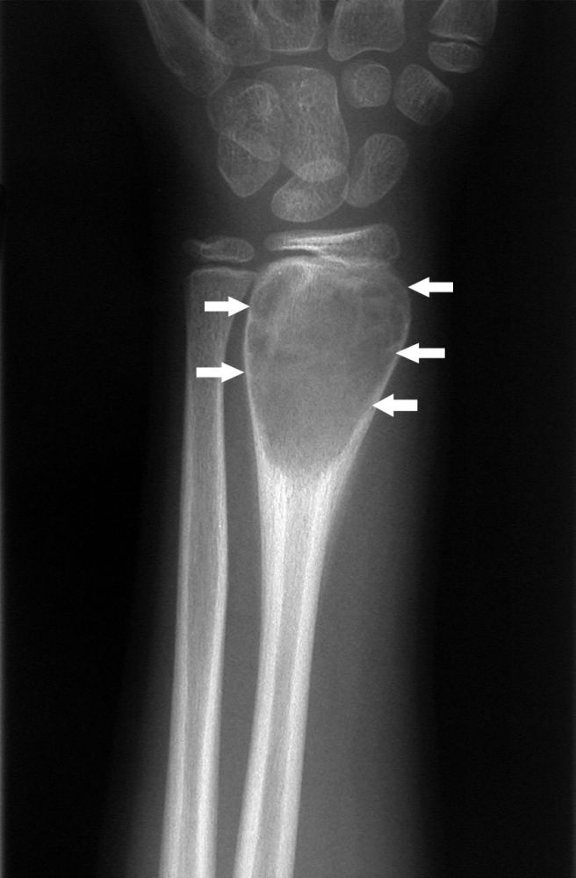
Nang xương phình mạch ở cổ tay
Phim chụp X-quang cổ tay này cho thấy hình thành xương mới ở màng xương xung quanh tổn thương mở rộng (mũi tên), đặc trưng của u nang xương phình mạch.
Hình ảnh do bác sĩ Michael J. Joyce, và bác sĩ Hakan Ilaslan cung cấp.
Trong các chủ đề này
