Nang xương đơn độc
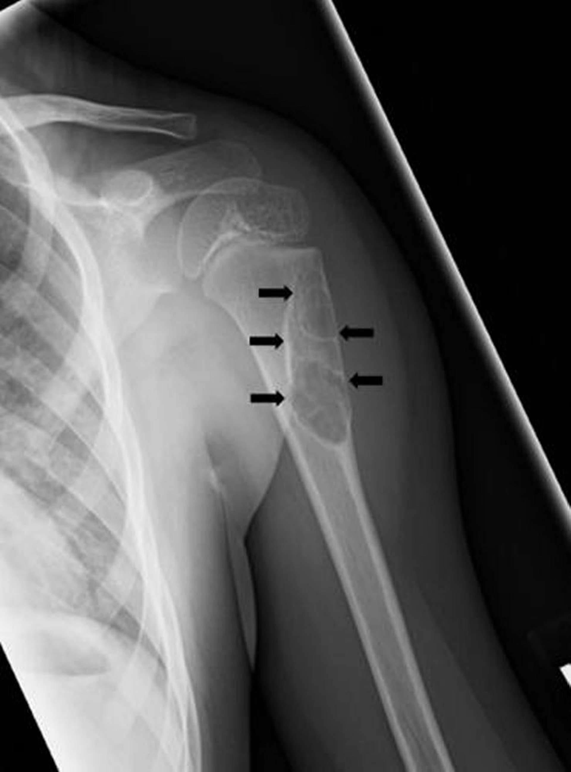
Phim chụp X-quang này cho thấy tổn thương dạng nang (mũi tên) ở xương cánh tay ở trẻ em phù hợp với nang xương một ngăn.
Hình ảnh do bác sĩ Michael J. Joyce, và bác sĩ Hakan Ilaslan cung cấp.
Trong các chủ đề này
Phim chụp X-quang này cho thấy tổn thương dạng nang (mũi tên) ở xương cánh tay ở trẻ em phù hợp với nang xương một ngăn.
Hình ảnh do bác sĩ Michael J. Joyce, và bác sĩ Hakan Ilaslan cung cấp.