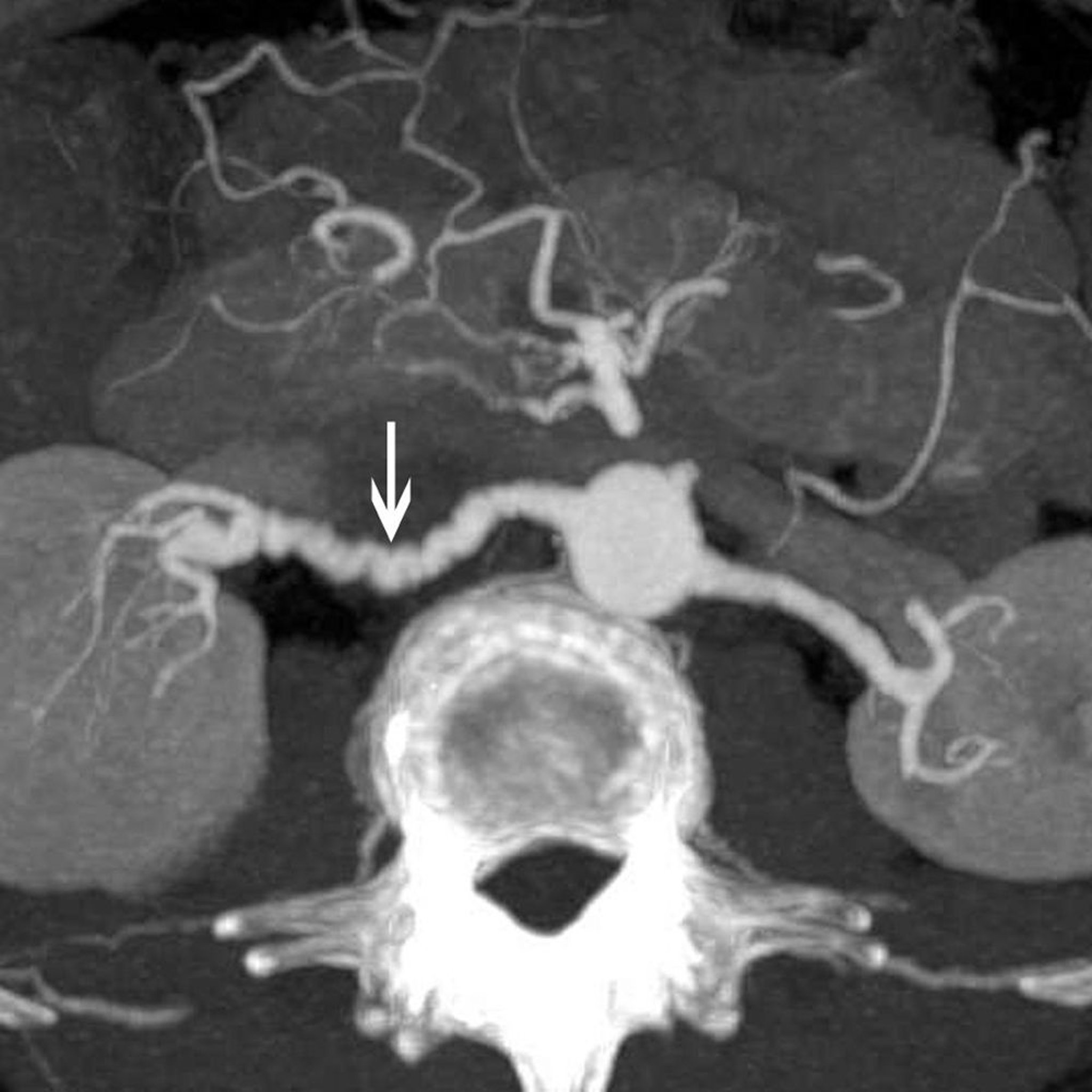
Loạn sản xơ cơ của động mạch thận
Hình ảnh này cho thấy dấu hiệu "chuỗi hạt" cổ điển (mũi tên) ở bệnh nhân mắc chứng loạn sản cơ xơ của động mạch thận.
© 2017 Bác sĩ Elliot K. Fishman.
Trong các chủ đề này
Hình ảnh này cho thấy dấu hiệu "chuỗi hạt" cổ điển (mũi tên) ở bệnh nhân mắc chứng loạn sản cơ xơ của động mạch thận.
© 2017 Bác sĩ Elliot K. Fishman.