Hoại thư ở bàn chân (X-quang)
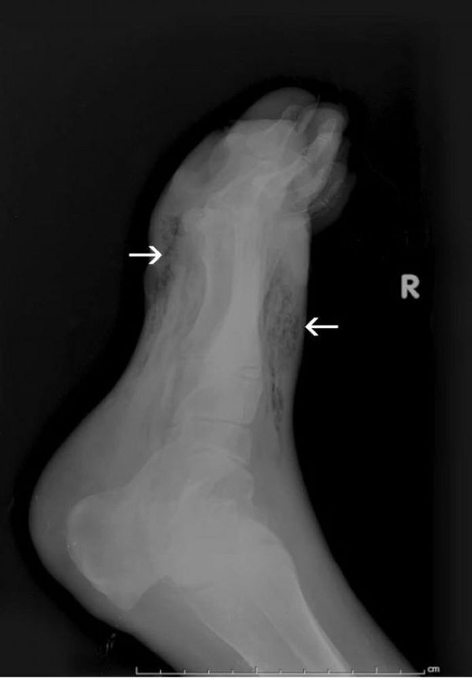
X-quang này cho thấy khí trong mô mềm của bàn chân (các mũi tên).
© Springer Science+Business Media
Trong các chủ đề này
X-quang này cho thấy khí trong mô mềm của bàn chân (các mũi tên).
© Springer Science+Business Media