Hội chứng Alport (viêm thận di truyền)
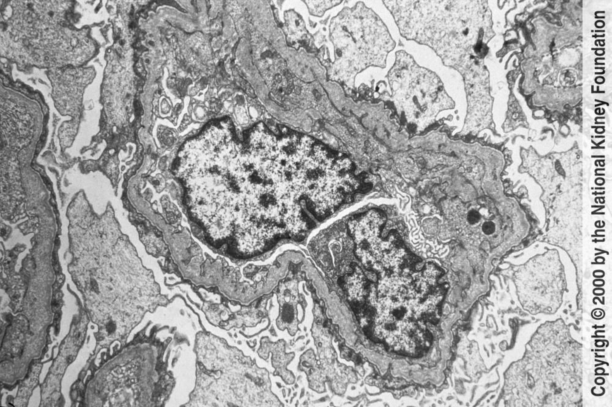
Màng đáy cầu thận mỏng và dày không đều có những lỗ thủng được quan sát thấy dưới kính hiển vi. Những thay đổi gây ra bởi chấn thương và sự tái cấu trúc (×6000).
Hình ảnh do bác sĩ Agnes Fogo và American Journal of Kidney Diseases' Atlas of Renal Pathology cung cấp (xem www.ajkd.org).
Trong các chủ đề này
