Giả u phổi
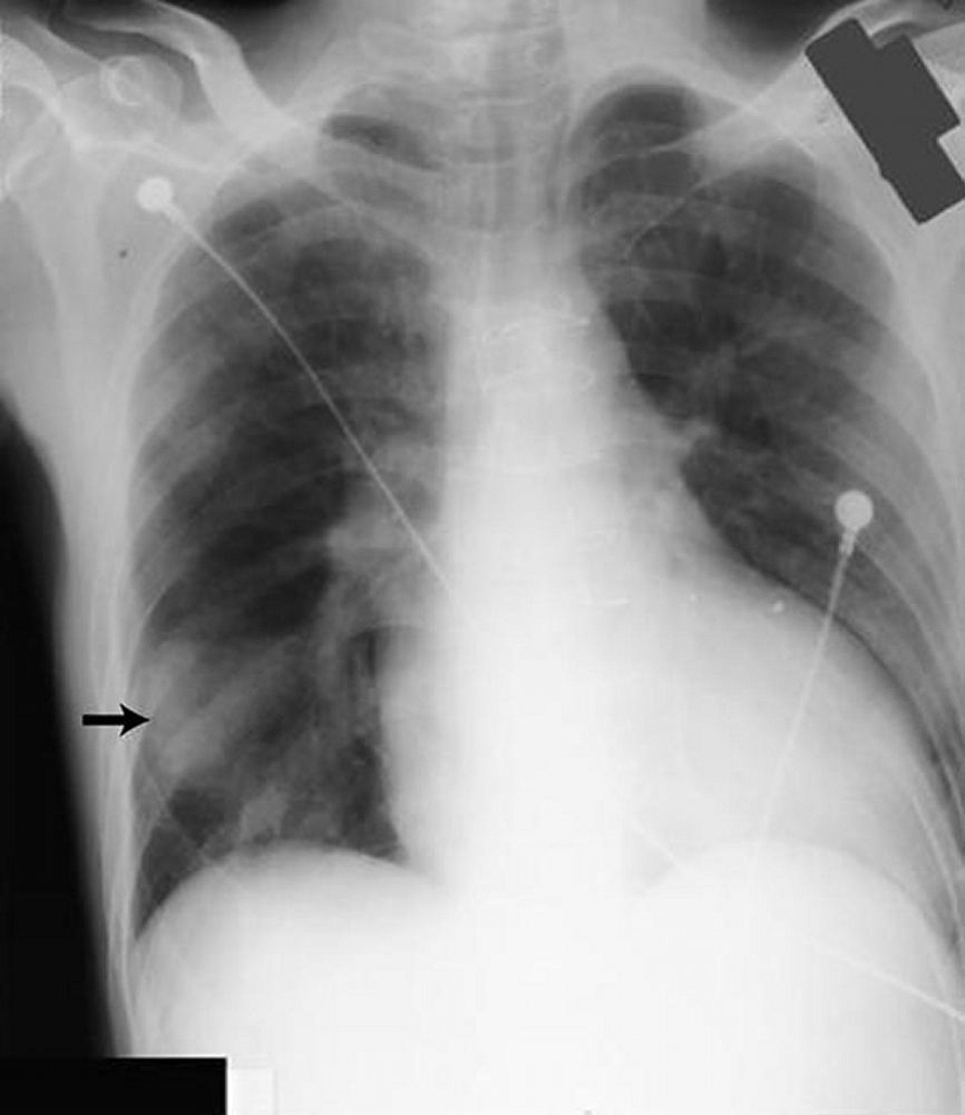
Hình mờ ở vùng phổi dưới bên phải (mũi tên) giống như một khối rắn nhưng được gây ra bởi chất lỏng trong rãnh liên thùy lớn ở bệnh nhân bị suy tim.
Được sự cho phép của nhà xuất bản. Theo Huggins J, Sahn S. Trong Bone's Atlas of Pulmonary and Critical Care Medicine. Biên tập bởi J Crapo. Philadelphia, Current Medicine, 2005.
Trong các chủ đề này
