Gãy xương bánh chè
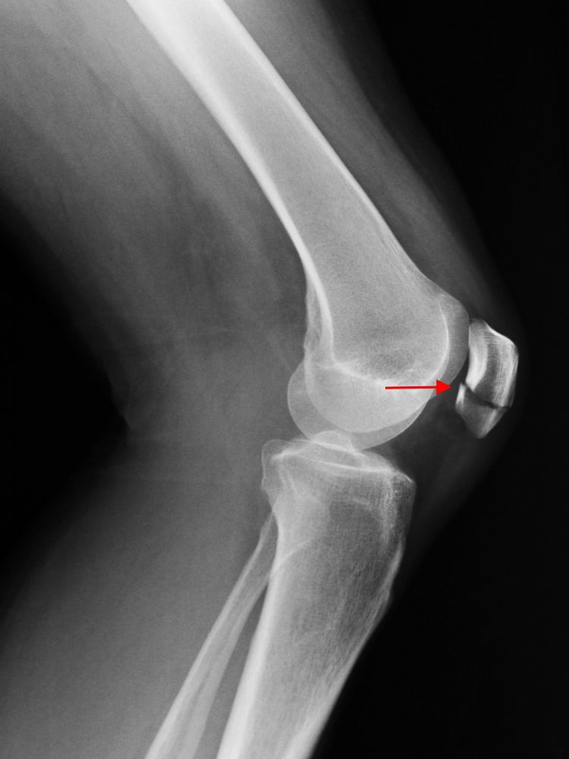
X-quang khớp gối nghiêng cho thấy một đường gãy ngang của xương bánh chè (mũi tên).
SCOTT CAMAZINE/THƯ VIỆN HÌNH ẢNH KHOA HỌC
Trong các chủ đề này
X-quang khớp gối nghiêng cho thấy một đường gãy ngang của xương bánh chè (mũi tên).
SCOTT CAMAZINE/THƯ VIỆN HÌNH ẢNH KHOA HỌC