Gãy xương đùi ở phần giữa thân xương (1)
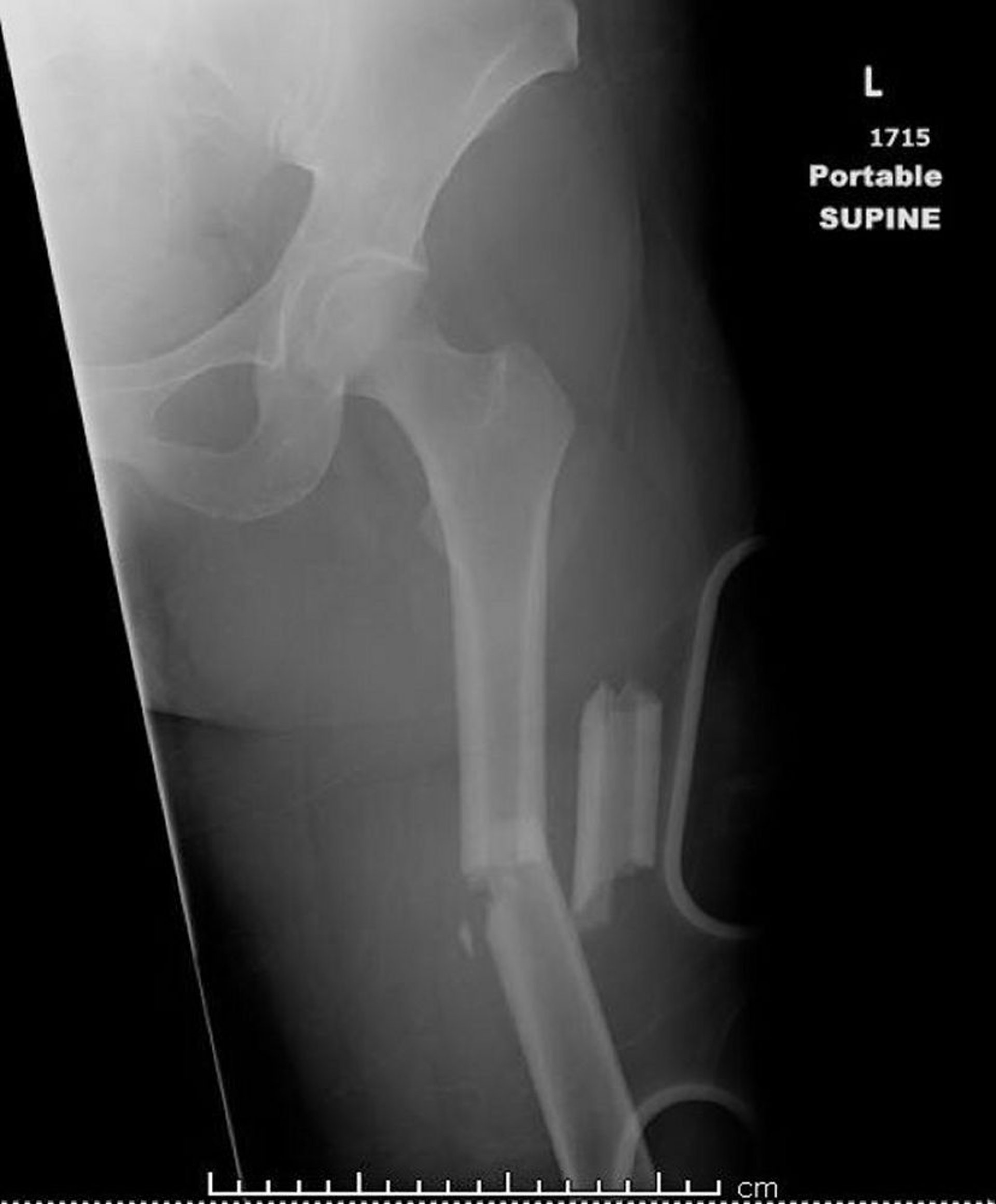
Hình ảnh này cho thấy một chỗ gãy ở phần giữa thân xương đùi, gãy vụn, gập góc và xương bị ngắn lại.
Hình ảnh do bác sĩ Danielle Campagne cung cấp.
Trong các chủ đề này
Hình ảnh này cho thấy một chỗ gãy ở phần giữa thân xương đùi, gãy vụn, gập góc và xương bị ngắn lại.
Hình ảnh do bác sĩ Danielle Campagne cung cấp.