Di căn tiêu xương ở đầu xa xương đùi

Di căn tiêu xương ở đầu xa xương đùi

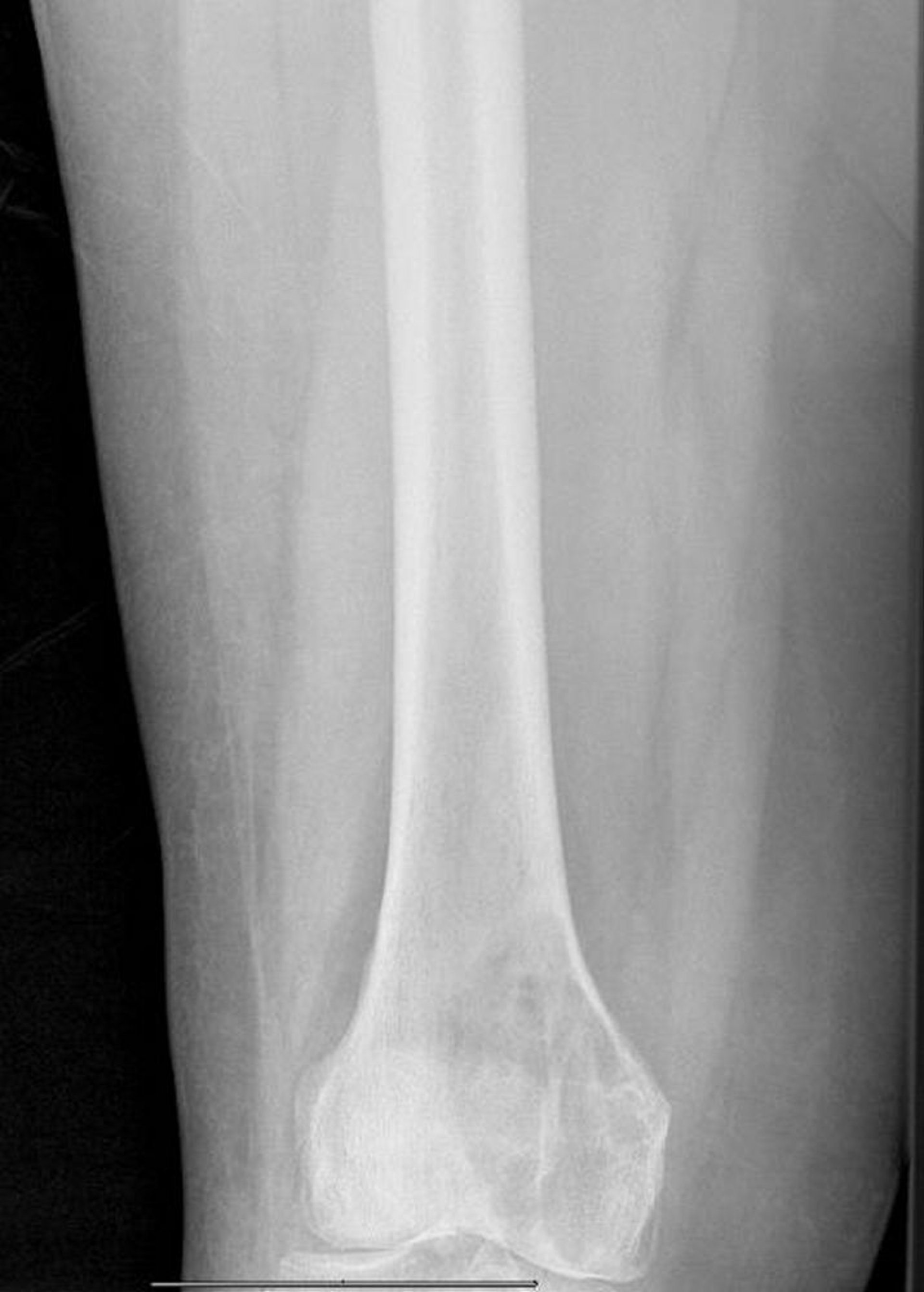
Phim chụp X-quang này cho thấy tổn thương tiêu xương do di căn lớn ở lồi cầu trong xương đùi với nguy cơ gãy xương bệnh lý.

Hình ảnh do bác sĩ Michael J. Joyce và bác sĩ David M. Joyce cung cấp.

Trong các chủ đề này