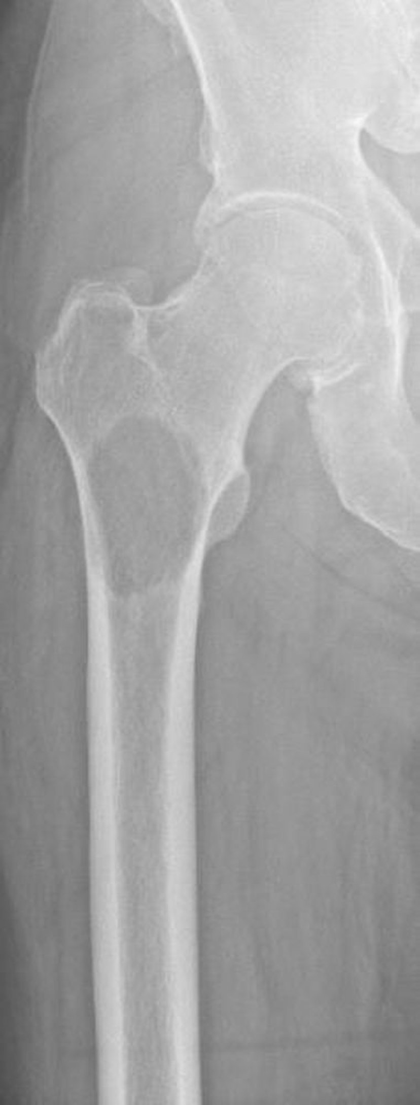
Di căn tiêu xương ở đầu gần xương đùi
Hình ảnh này cho thấy tiêu xương do di căn thứ phát từ ung thư biểu mô tế bào thận ở đầu gần xương đùi. Vị trí và mức độ phá hủy xương làm cho nguy cơ gãy xương cực kỳ cao (nguy cơ gãy xương).
Hình ảnh do bác sĩ Michael J. Joyce và bác sĩ David M. Joyce cung cấp.
Trong các chủ đề này
