Di căn não
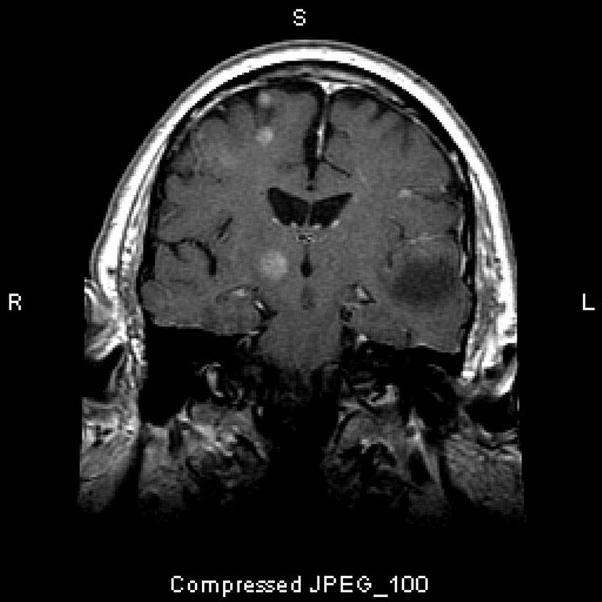
Chụp MRI này cho thấy nhiều tổn thương não, đại diện cho các khối u di căn. Trên 80% di căn não là đa di căn.
Hình ảnh do bác sĩ William R. Shapiro cung cấp
Trong các chủ đề này
Chụp MRI này cho thấy nhiều tổn thương não, đại diện cho các khối u di căn. Trên 80% di căn não là đa di căn.
Hình ảnh do bác sĩ William R. Shapiro cung cấp