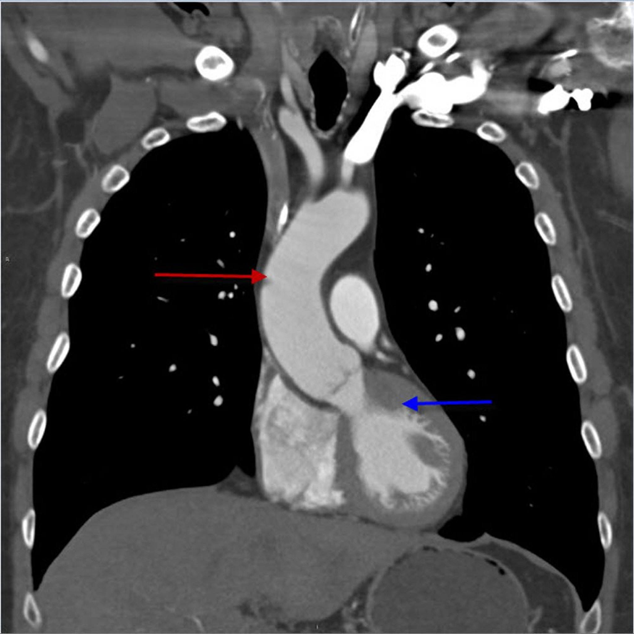
CTA (khung nhìn đứng ngang) của lồng ngực cho thấy động mạch chủ ngực lên
Hình ảnh này cho thấy động mạch chủ ngực lên (mũi tên màu đỏ) phát sinh từ tâm thất trái (mũi tên màu xanh lam).
© 2017 Bác sĩ Elliot K. Fishman.
Trong các chủ đề này
Hình ảnh này cho thấy động mạch chủ ngực lên (mũi tên màu đỏ) phát sinh từ tâm thất trái (mũi tên màu xanh lam).
© 2017 Bác sĩ Elliot K. Fishman.