COPD có túi khí
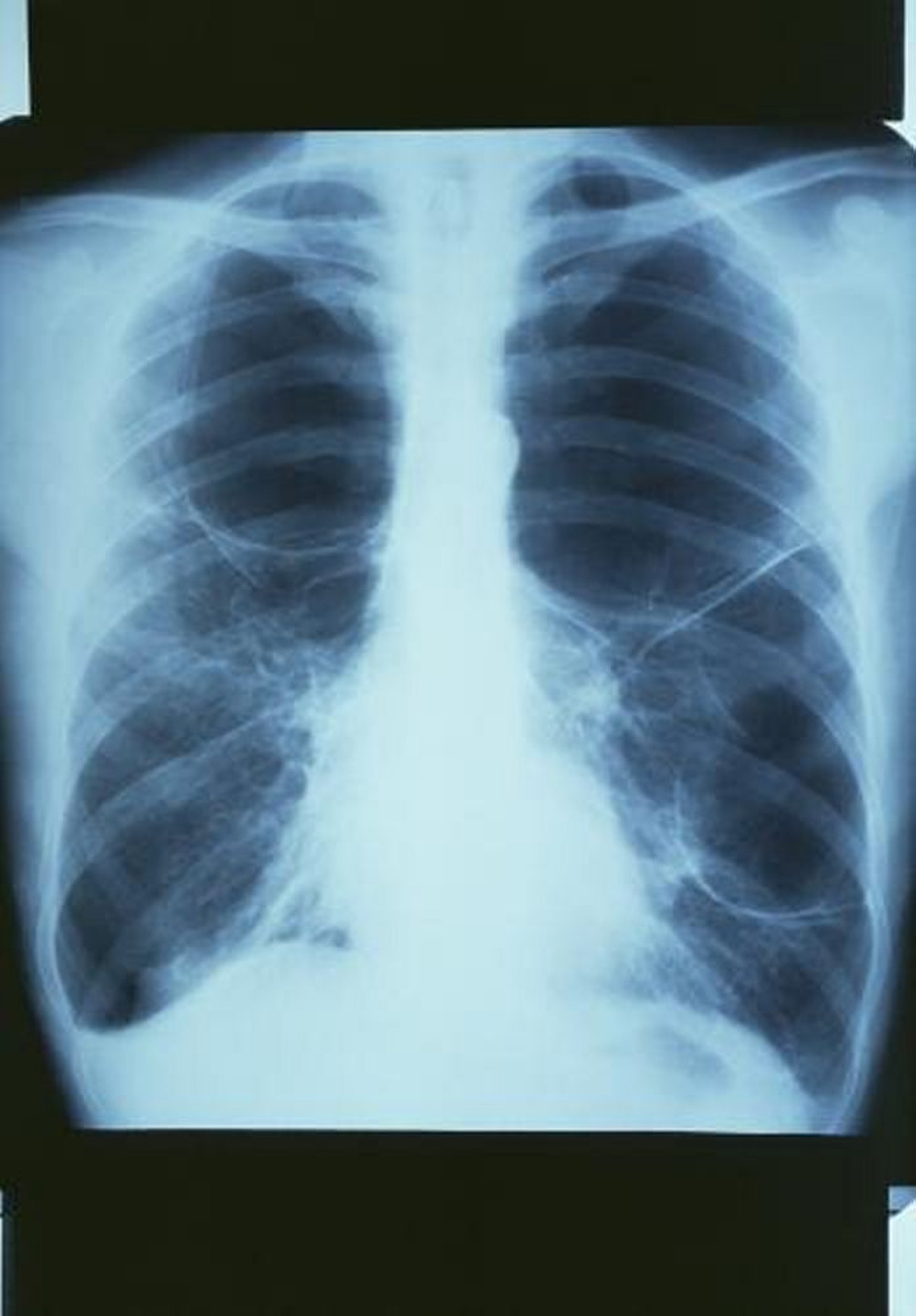
Phim X-quang phổi cho thấy một túi khí lớn ở phía trên phổi bên phải và 2 túi khí lớn ở phổi trái.
GJLP/CNRI/THƯ VIỆN HÌNH ẢNH KHOA HỌC
Trong các chủ đề này
Phim X-quang phổi cho thấy một túi khí lớn ở phía trên phổi bên phải và 2 túi khí lớn ở phổi trái.
GJLP/CNRI/THƯ VIỆN HÌNH ẢNH KHOA HỌC