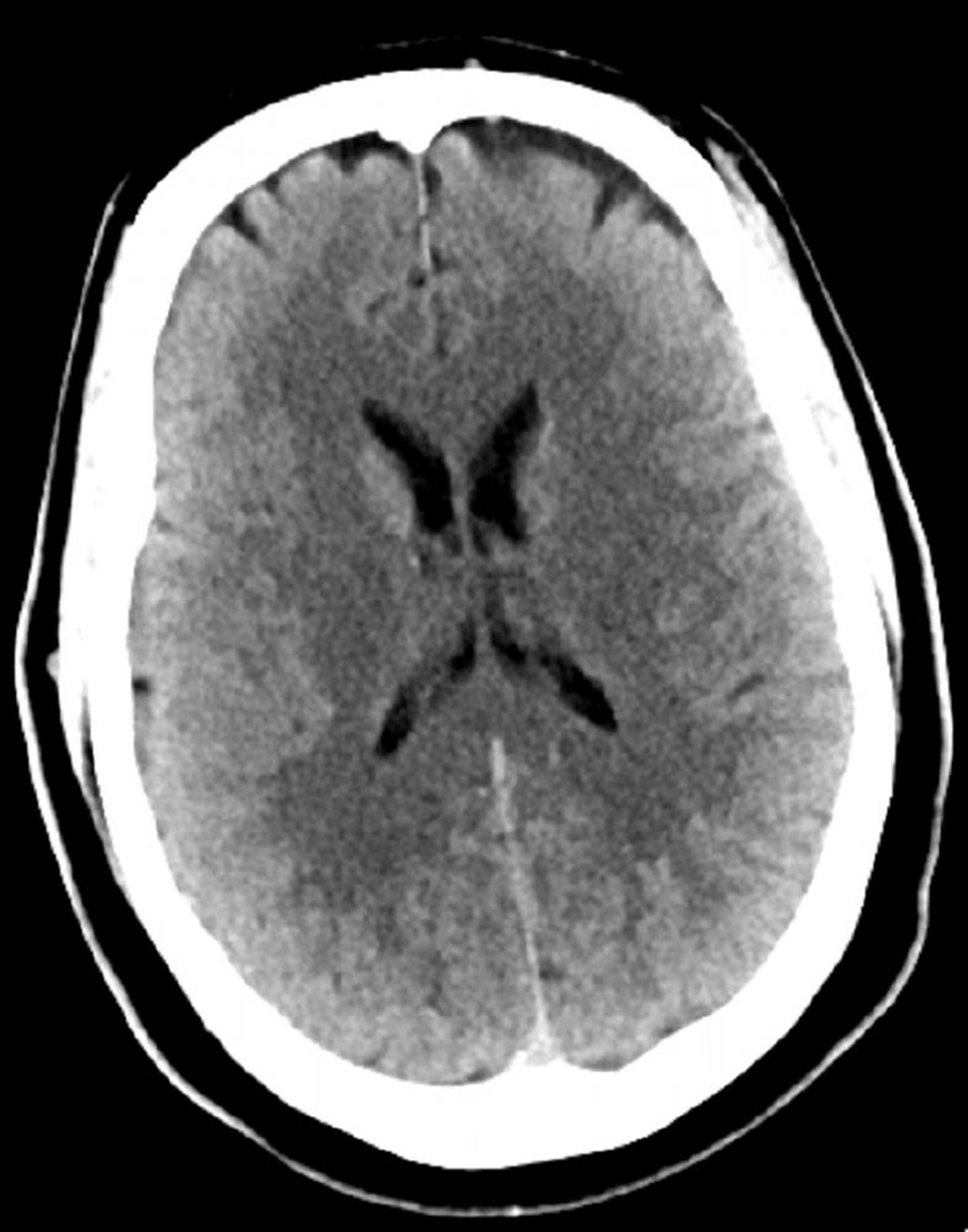
Chụp CT đầu bình thường (người lớn, 30 tuổi) – Lát cắt 4
Hình ảnh này là hình ảnh chụp CT đầu bình thường của một thanh niên 30 tuổi. Không có dịch hoặc xuất huyết trong hoặc ngoài trục. Gianh giới chất xám - chất trắng bảo toàn. Kích thước não thất và dạng khe bình thường.
© 2017 Bác sĩ Elliot K. Fishman.
Trong các chủ đề này
