Bệnh xơ hóa cầu thận ổ cục bộ
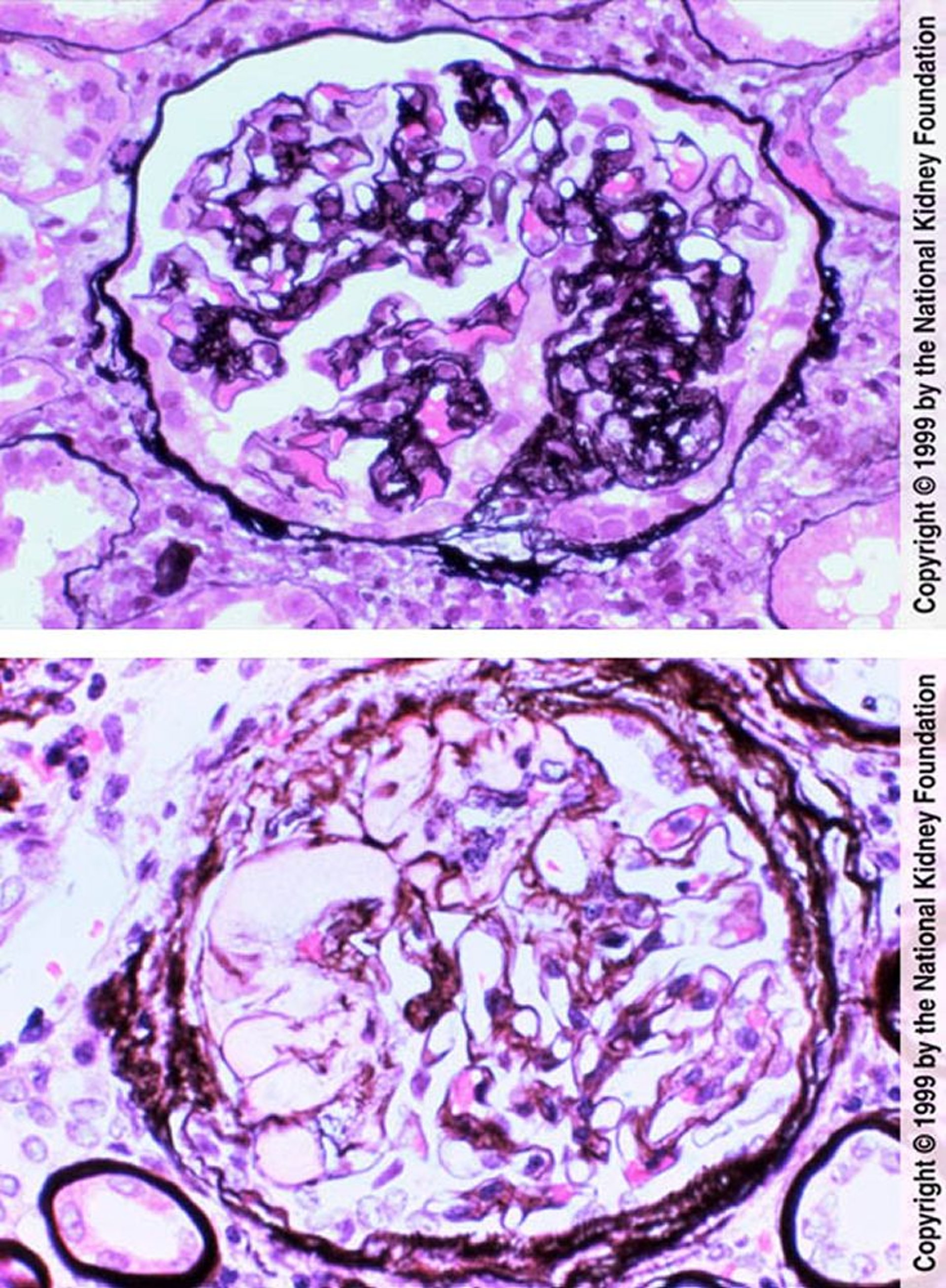
Hình ảnh trên cho thấy phần bên phải của cầu thận. Cầu thận, bị xơ cứng từng đoạn, gồm các lòng mao mạch bị xóa mờ và tăng lượng chất nền gian mạch. Phần còn lại của cầu thận bình thường (nhuộm bạc Jones, ×400). Trong hình bên dưới, hyalin, được xác định là vật liệu nhẵn, trông như thủy tinh, là kết quả của quá trình bọc (ngược lại với tiết dịch) của protein huyết tương. Tình trạng này xảy ra thường xuyên và không phải là chẩn đoán (nhuộm bạc Jones, ×400).
Hình ảnh do bác sĩ Agnes Fogo và American Journal of Kidney Diseases' Atlas of Renal Pathology cung cấp (xem www.ajkd.org).
Trong các chủ đề này
