Bệnh than (Do hít phải)
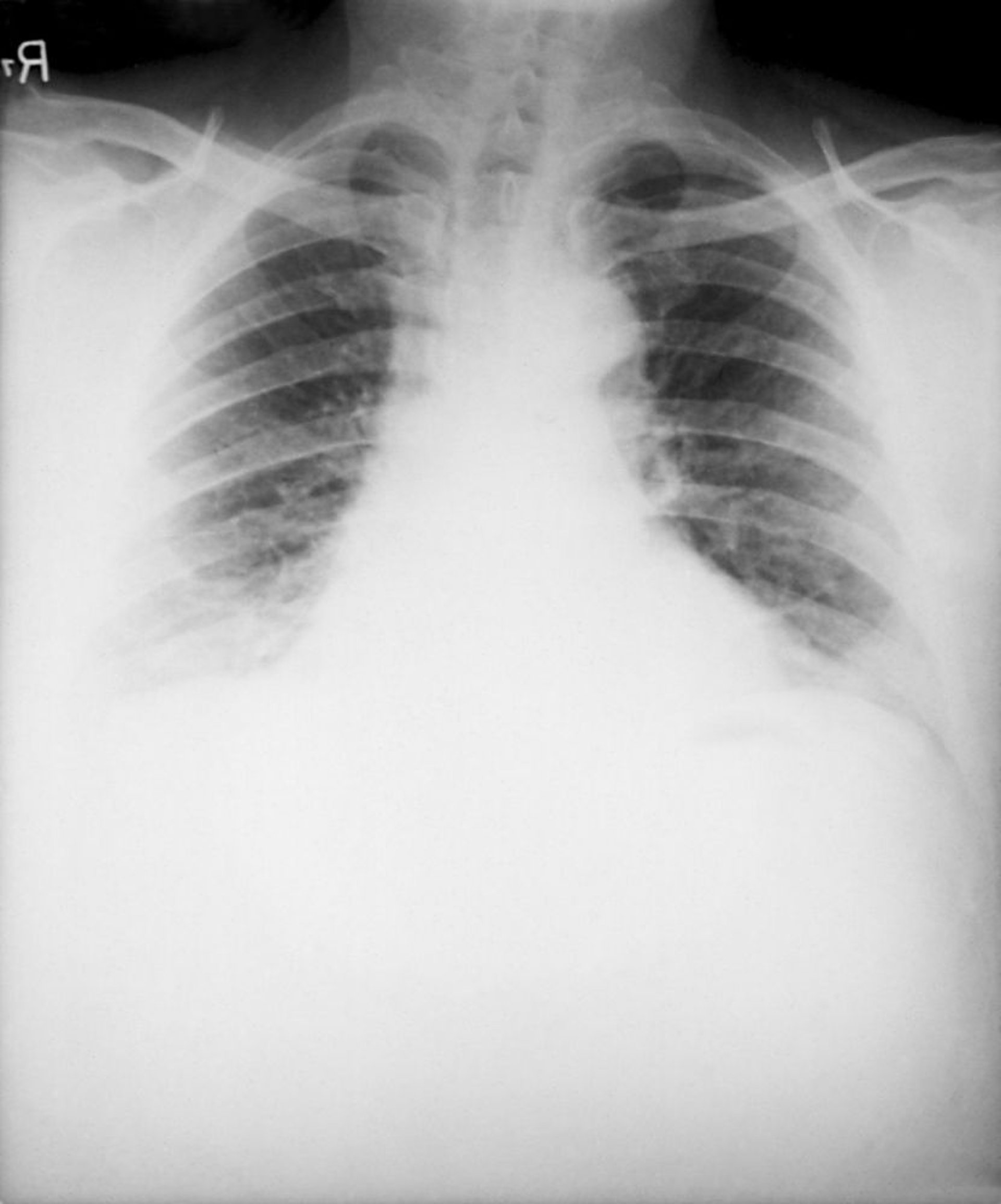
Những dấu hiệu điển hình của bệnh than do hít phải trên X-quang ngực bao gồm một trung thất mở rộng gây ra bởi viêm hạch trung thất hoại tử xuất huyết và tràn dịch màng phổi hai bên. Thâm nhiễm là không phổ biến.
Hình ảnh từ Thư viện Hình ảnh Y tế Công cộng của Trung tâm Kiểm soát và Phòng ngừa Dịch bệnh.
Trong các chủ đề này
