Blastomycosis
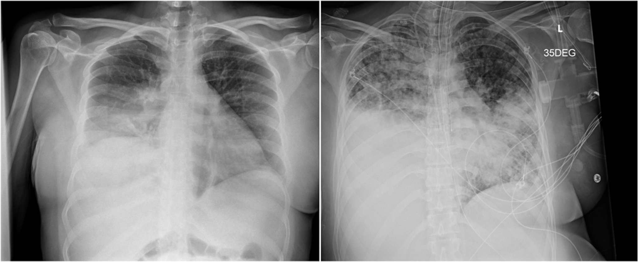
X-quang bên trái cho thấy đông đặc thùy dưới bên phải bị nhầm lẫn với viêm phổi do vi khuẩn. Chụp X-quang bên phải, chụp ba tuần sau, cho thấy bệnh tiến triển với các đám mờ vùng khí đạo hai bên và đông đặc ở phổi dưới bên phải.
Hình ảnh do bác sĩ, thạc sĩ Paschalis Vergidis.
Trong các chủ đề này
