Bệnh xương đặc đốm ở xương chậu
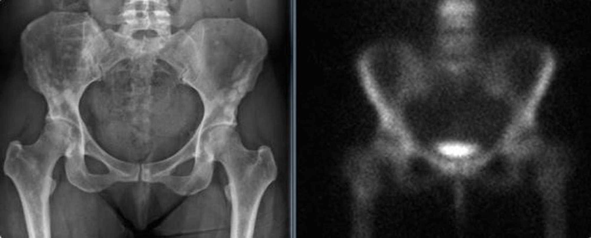
Phim chụp X-quang vùng chậu (bên trái) cho thấy bệnh xương đặc đốm ở vùng chậu của một phụ nữ trưởng thành. Những chỗ tăng đậm độ này có thể bị nhầm lẫn với di căn nguyên bào. Phim chụp xương (bên phải) cho thấy không có gia tăng hấp thụ bức xạ đáng kể.
Hình ảnh do bác sĩ Michael J. Joyce và bác sĩ David M. Joyce cung cấp.
Trong các chủ đề này
