Bệnh võng mạc tiểu đường (Không tăng sinh)
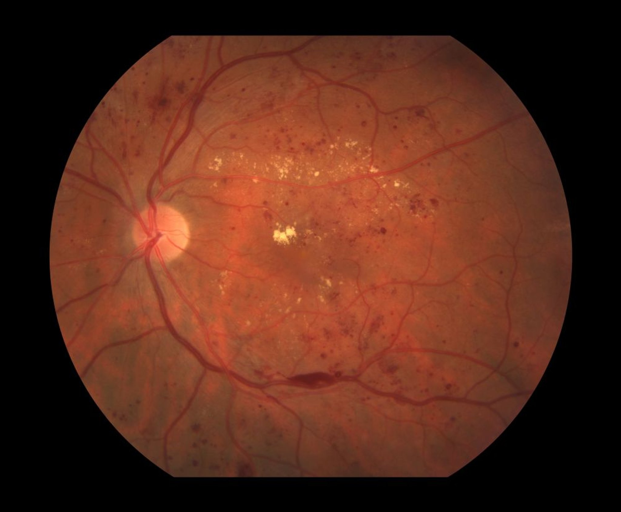
Các đặc điểm cơ bản của bệnh võng mạc tiểu đường không tăng sinh bao gồm xuất huyết võng mạc và dịch tiết cứng (mảng màu vàng).
Paul Whitten/THƯ VIỆN HÌNH ẢNH KHOA HỌC
Trong các chủ đề này
Các đặc điểm cơ bản của bệnh võng mạc tiểu đường không tăng sinh bao gồm xuất huyết võng mạc và dịch tiết cứng (mảng màu vàng).
Paul Whitten/THƯ VIỆN HÌNH ẢNH KHOA HỌC