Bệnh u hạt với viêm đa mạch (Tổn thương phổi)
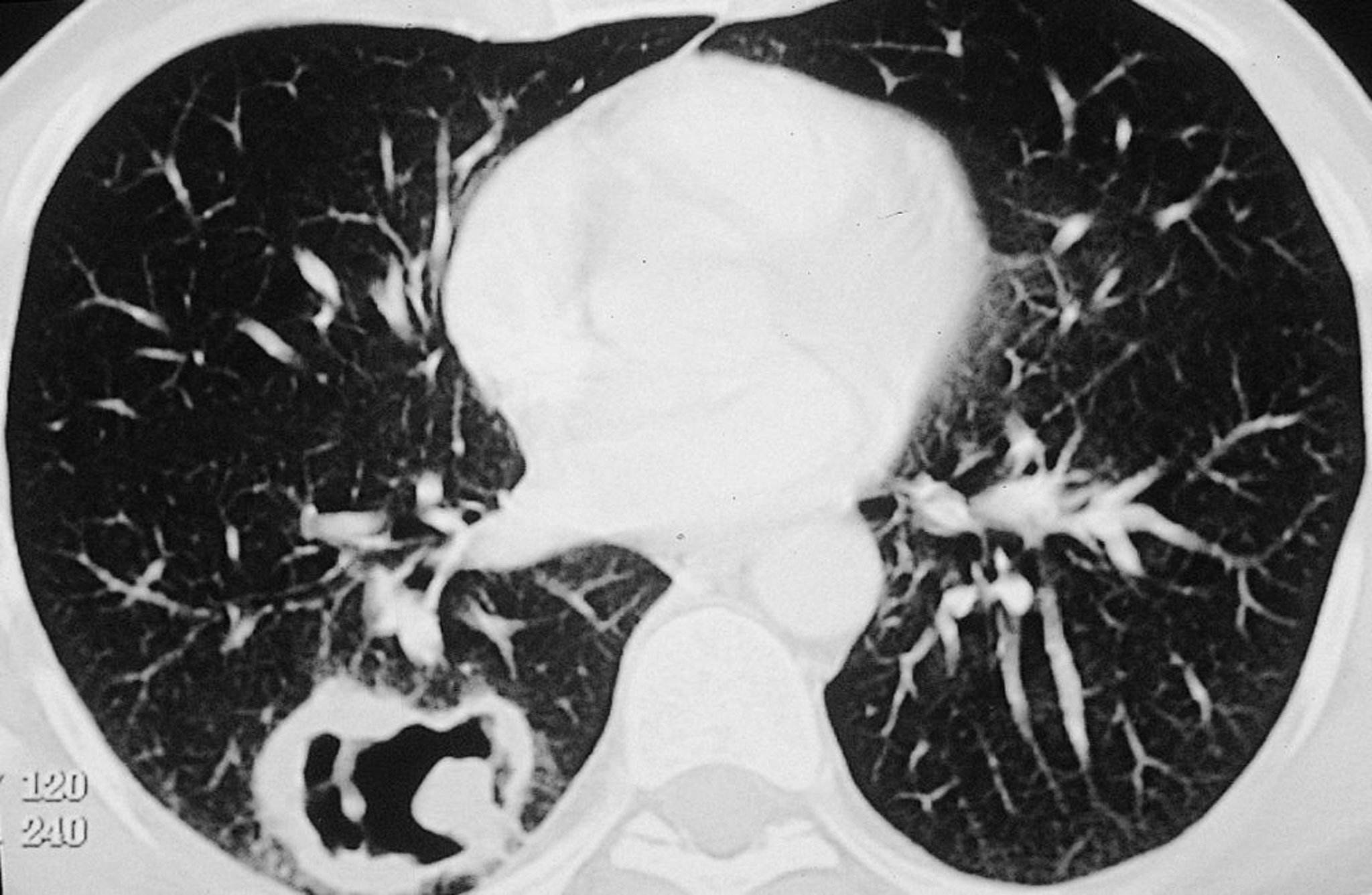
Tổn thương lớn ở phổi phải ở bệnh nhân bị u hạt với viêm đa mạch (GPA).
© Springer Science+Business Media
Trong các chủ đề này
Tổn thương lớn ở phổi phải ở bệnh nhân bị u hạt với viêm đa mạch (GPA).
© Springer Science+Business Media