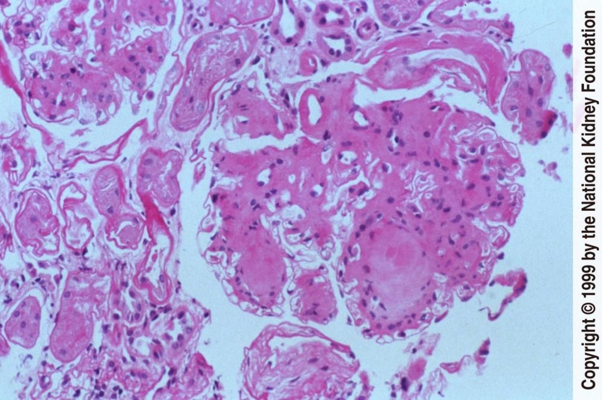
Bệnh thận do tiểu đường (nốt)
Hình thành các nốt không tế bào trong chất nền gian mạch là một đặc điểm khác biệt của bệnh thận do đái tháo đường (nhuộm axit-Schiff định kỳ, ×200).
Hình ảnh do bác sĩ Agnes Fogo và American Journal of Kidney Diseases' Atlas of Renal Pathology cung cấp (xem www.ajkd.org).
Trong các chủ đề này
