Bệnh nến xương (sáp nến nhỏ giọt)
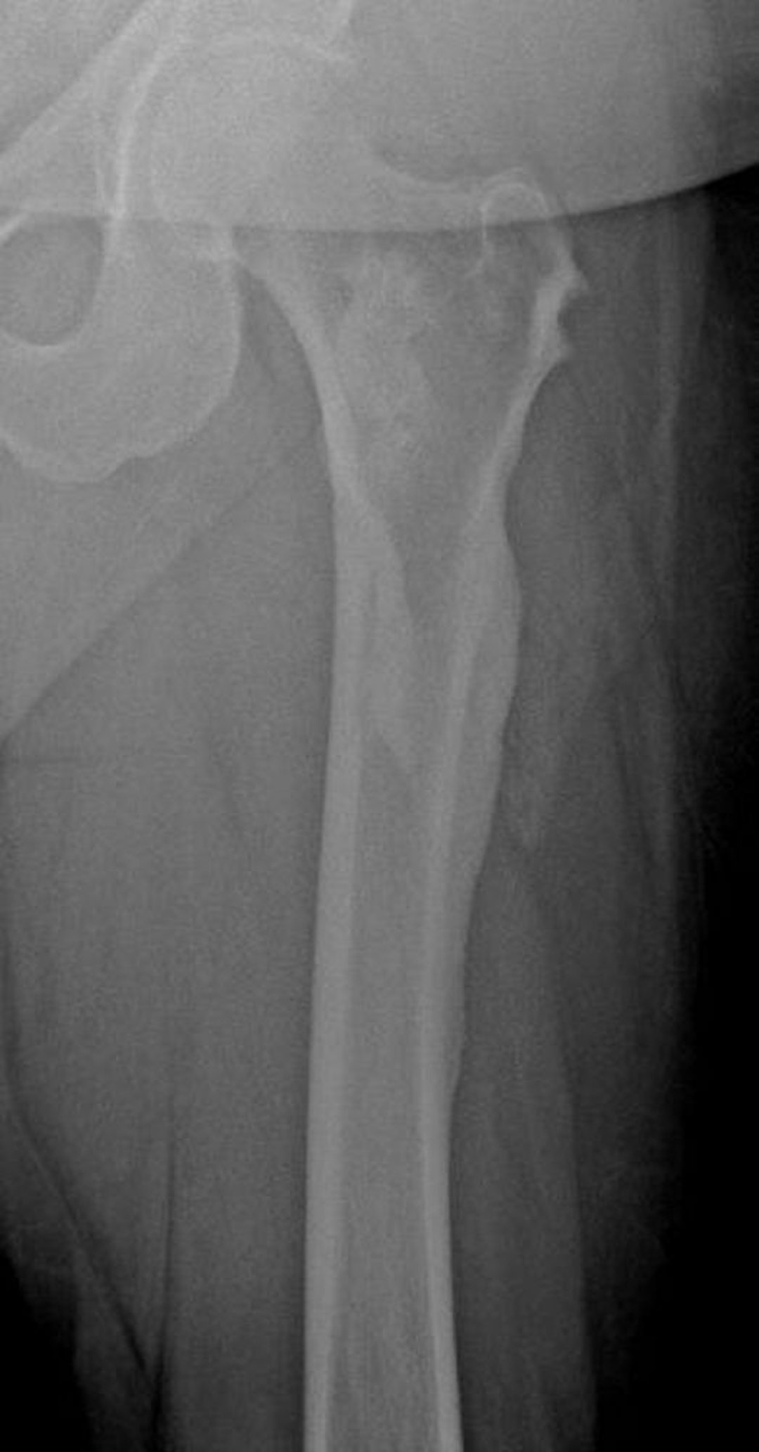
Phim chụp X-quang này cho thấy biểu hiện hình ảnh "sáp nến nhỏ giọt" của bệnh nến xương ở xương đùi; hình ảnh này đặc biệt thấy rõ ở vỏ xương đùi ngoài.
Hình ảnh do bác sĩ Michael J. Joyce và bác sĩ David M. Joyce cung cấp.
Trong các chủ đề này
