Bệnh mô bào Langerhans (xương chậu)
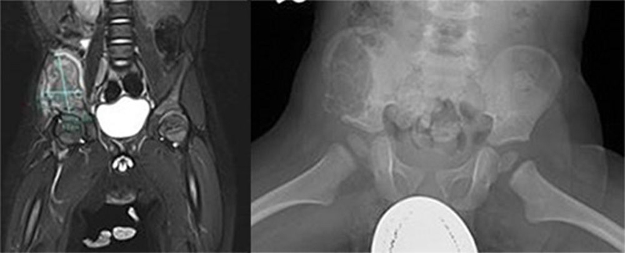
Hình ảnh này cho thấy một tổn thương lớn tích cực bên trong cánh chậu phải. Chụp MRI cho thấy khối không đồng nhất trên T2 và tín hiệu T1 thấp với sự tăng cường không đồng nhất của khối và các cơ xung quanh với sự lệch của cơ psoas bên phải về trung gian, gợi ý một tổn thương xương tích cực (bên trái). Một tổn thương màng cứng lớn trong ala phía trước và bên của hồi tràng kéo dài ra phía trước và phía dưới đường đẳng có thể nhìn thấy trên phim chụp X-quang (bên phải). Có vỏ não mở rộng và các bất thường về vỏ não. Sinh thiết là chẩn đoán cho bệnh mô bào tế bào Langerhans.
Hình ảnh do bác sĩ Carolyn Fein Levy và bác sĩ, tiến sĩ Jeffrey M. Lipton cung cấp.
Trong các chủ đề này
